biological source
rabbit
conjugate
unconjugated
antibody form
affinity isolated antibody
antibody product type
primary antibodies
clone
polyclonal
product line
Prestige Antibodies® Powered by Atlas Antibodies
form
buffered aqueous glycerol solution
species reactivity
human
enhanced validation
orthogonal RNAseq
independent
Learn more about Antibody Enhanced Validation
technique(s)
immunoblotting: 0.04-0.4 μg/mL, immunohistochemistry: 1:200-1:500
immunogen sequence
EHLQESNGHLISKTKDLGKLQAASWRLQNPSREVCDNSREHVPSGQFPDTEAPATSETSNSRSYSEVSRNESLESPMGEWGFQKGQEISAKAATCFAEKLPSSNLLKNRAKEEMSLSDLNSQDRV
UniProt accession no.
shipped in
wet ice
storage temp.
−20°C
target post-translational modification
unmodified
Quality Level
Gene Information
human ... STBD1(8987)
正在寻找类似产品? 访问 产品对比指南
General description
STBD1 (Starch binding domain 1) is a 41-43kDa internal membrane protein expressed in human skeletal muscle, heart and placenta. It is composed of a conserved N-terminal hydrophobic region and a carbohydrate binding domain at the C-terminal end of the CBM20 family.
Immunogen
starch binding domain 1
Application
All Prestige Antibodies Powered by Atlas Antibodies are developed and validated by the Human Protein Atlas (HPA) project and as a result, are supported by the most extensive characterization in the industry.
The Human Protein Atlas project can be subdivided into three efforts: Human Tissue Atlas, Cancer Atlas, and Human Cell Atlas. The antibodies that have been generated in support of the Tissue and Cancer Atlas projects have been tested by immunohistochemistry against hundreds of normal and disease tissues and through the recent efforts of the Human Cell Atlas project, many have been characterized by immunofluorescence to map the human proteome not only at the tissue level but now at the subcellular level. These images and the collection of this vast data set can be viewed on the Human Protein Atlas (HPA) site by clicking on the Image Gallery link. We also provide Prestige Antibodies® protocols and other useful information.
The Human Protein Atlas project can be subdivided into three efforts: Human Tissue Atlas, Cancer Atlas, and Human Cell Atlas. The antibodies that have been generated in support of the Tissue and Cancer Atlas projects have been tested by immunohistochemistry against hundreds of normal and disease tissues and through the recent efforts of the Human Cell Atlas project, many have been characterized by immunofluorescence to map the human proteome not only at the tissue level but now at the subcellular level. These images and the collection of this vast data set can be viewed on the Human Protein Atlas (HPA) site by clicking on the Image Gallery link. We also provide Prestige Antibodies® protocols and other useful information.
Biochem/physiol Actions
STBD1 (Starch binding domain 1) plays a vital role in glycogen metabolism. It binds to glycogen as a cargo receptor to translocate it at the intracellular membrane positions. It can also bind to autophagy protein such as GABARAPL1, a member of the Atg8 family, during glycophagy for delivering glycogen to lysosomes.
Features and Benefits
Prestige Antibodies® are highly characterized and extensively validated antibodies with the added benefit of all available characterization data for each target being accessible via the Human Protein Atlas portal linked just below the product name at the top of this page. The uniqueness and low cross-reactivity of the Prestige Antibodies® to other proteins are due to a thorough selection of antigen regions, affinity purification, and stringent selection. Prestige antigen controls are available for every corresponding Prestige Antibody and can be found in the linkage section.
Every Prestige Antibody is tested in the following ways:
Every Prestige Antibody is tested in the following ways:
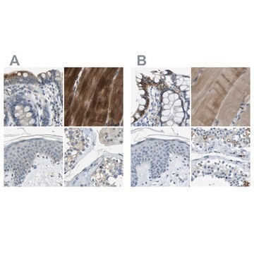
- IHC tissue array of 44 normal human tissues and 20 of the most common cancer type tissues.
- Protein array of 364 human recombinant protein fragments.
Physical form
Solution in phosphate-buffered saline, pH 7.2, containing 40% glycerol and 0.02% sodium azide
Other Notes
Corresponding Antigen APREST71842
Legal Information
Prestige Antibodies is a registered trademark of Merck KGaA, Darmstadt, Germany
Disclaimer
Unless otherwise stated in our catalog or other company documentation accompanying the product(s), our products are intended for research use only and are not to be used for any other purpose, which includes but is not limited to, unauthorized commercial uses, in vitro diagnostic uses, ex vivo or in vivo therapeutic uses or any type of consumption or application to humans or animals.
未找到合适的产品?
试试我们的产品选型工具.
存储类别
10 - Combustible liquids
wgk
WGK 1
flash_point_f
Not applicable
flash_point_c
Not applicable
ppe
Eyeshields, Gloves, multi-purpose combination respirator cartridge (US)
法规信息
低风险生物材料
常规特殊物品
此项目有
S Bouju et al.
The Biochemical journal, 335 ( Pt 3), 549-556 (1998-10-31)
Systematic analysis of gene transcript repertoires prepared from libraries made with various specific human tissues permitted isolation of many partially sequenced cDNA clones. A few of these represented novel genes with limited or no similarity to known genes from humans
Sixin Jiang et al.
Biochemical and biophysical research communications, 413(3), 420-425 (2011-09-07)
Glycogen, a branched polymer of glucose, acts as an intracellular carbon and energy reserve in many tissues and cell types. An important pathway for its degradation is by transport to lysosomes in an autophagy-like process. It has been proposed that
我们的科学家团队拥有各种研究领域经验,包括生命科学、材料科学、化学合成、色谱、分析及许多其他领域.
联系客户支持