biological source
rabbit
recombinant
expressed in HEK 293 cells
conjugate
unconjugated
antibody form
purified antibody
Quality Level
product line
ZooMAb® learn more
form
lyophilized
mol wt
calculated mol wt 105.98 kDa, observed mol wt ~105 kDa
species reactivity
human, mouse
packaging
antibody small pack of 25 μL
greener alternative product characteristics
Waste Prevention
Designing Safer Chemicals
Design for Energy Efficiency
Learn more about the Principles of Green Chemistry.
enhanced validation
recombinant expression
Learn more about Antibody Enhanced Validation
sustainability
Greener Alternative Product
technique(s)
affinity binding assay: suitable, flow cytometry: suitable, immunocytochemistry: suitable, immunohistochemistry: suitable, western blot: suitable
isotype
IgG
UniProt accession no.
greener alternative category
shipped in
ambient
storage temp.
2-8°C
target post-translational modification
unmodified
General description
ZooMAb antibodies represent an entirely new generation of recombinant monoclonal antibodies.
Each ZooMAb antibody is manufactured using our proprietary recombinant expression system, purified to homogeneity, and precisely dispensed to produce robust and highly reproducible lot-to-lot consistency. Only top-performing clones are released for use by researchers. Each antibody is validated for high specificity and affinity across multiple applications, including its most commonly used application. ZooMAb antibodies are reliably available and ready to ship when you need them.
Learn more about ZooMAb here.
Each ZooMAb antibody is manufactured using our proprietary recombinant expression system, purified to homogeneity, and precisely dispensed to produce robust and highly reproducible lot-to-lot consistency. Only top-performing clones are released for use by researchers. Each antibody is validated for high specificity and affinity across multiple applications, including its most commonly used application. ZooMAb antibodies are reliably available and ready to ship when you need them.
Learn more about ZooMAb here.
Phospholipase D2 (UniProt: O14939; also known as EC:3.1.4.4, PLD 2, hPLD2, Choline phosphatase 2, PLD1C, Phosphatidylcholine-hydrolyzing phospholipase D2) is encoded by the PLD2 gene (Gene ID: 5338) in human. PLD2 is a peripheral membrane protein that displays ubiquitous expression and plays a role in cell membrane lipid reorganization and serves as a key cell signaling protein. It is activated by a wide variety of G-protein coupled receptors and receptor tyrosine kinases in response to a wide variety of agonists. It hydrolyzes the membrane phospholipid phosphatidylcholine to choline and the lipid messenger phosphatidic acid (PA). PA can act as a central lipid second messenger for various signaling pathways and participates in many physiological processes, including cell proliferation, migration, and cytoskeletal organization. PA is also involved in the activation of Ras‐GTPase by recruiting its exchange factor Sos or Rac1to the plasma membrane. PLD2 is reported to positively regulate proliferation of CD8+ T cells that play a critical role in cancer cell elimination and suppression of tumor progression. PLD2 is reported to degrade HIF-1 and thereby reduces VEGF secretion by endothelial cells that results in reduction of tumor neovascularization and growth. PLD2 has PX and PH domains at its regulatory N‐terminus that are putatively responsible for its GEF activity. It also has two conserved HKD domains are responsible for the lipase activity and conversion of PC into PA. Its catalytic region is localized within amino acids 441-788. This ZooMAb recombinant monoclonal antibody, generated by our propriety technology, offers significantly enhanced specificity, affinity, reproducibility, and stability over conventional monoclonals. (Ref.: Bich, VNT., et al. (2018). Sci. Rep. 8; 6283; Frohman, MA. (2015). Trends Pharmacol. Sci. 36(3); 137-144; Park, MH., et al. (2015). Exp. Mol. Med. 47; 196; Gomez-Cambronero, J. (2012). J. Leukocyte Biol. 92(3); 461-467).
We are committed to bringing you greener alternative products, which adhere to one or more of The 12 Principles of Green Chemistry.This antibody is Preservative-free, produced without the harm or sacrifice of animals and exceptionally stable to allow for ambient shipping and storage if needed and thus aligns with "Waste Prevention", "Designing Safer Chemicals" and "Design for Energy Efficiency". Click here for more information.
Immunogen
KLH-conjugated linear peptide corresponding to 21 amino acids from the N-terminal region of human Phospholipase D2.
Application
Quality Control Testing
Western Blotting Analysis: A 1:10,000 dilution of this antibody detected PLD2 in NIH3T3 cell lysate.
Tested applications
Immunocytochemistry Analysis: A 1:100 dilution from a representative lot detected PLD2 in HeLa, A431, and d NIH 3T3 cells.
Flow Cytometry Analysis: 1 μg from a representative lot detected PLD2 in one million NIH3T3 cells.
Affinity Binding Assay: A representative lot of this antibody bound PLD2 peptide with a KD of 1.7 x 10-6 in an affinity binding assay.
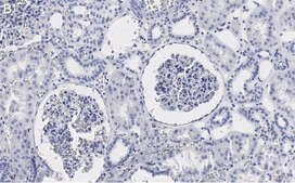
Immunohistochemistry (Paraffin) Analysis: A 1:1,000 dilution from a representative lot detected PLD2 in human pancreas and human kidney tissue sections.
Note: Actual optimal working dilutions must be determined by end user as specimens, and experimental conditions may vary with the end user
Western Blotting Analysis: A 1:10,000 dilution of this antibody detected PLD2 in NIH3T3 cell lysate.
Tested applications
Immunocytochemistry Analysis: A 1:100 dilution from a representative lot detected PLD2 in HeLa, A431, and d NIH 3T3 cells.
Flow Cytometry Analysis: 1 μg from a representative lot detected PLD2 in one million NIH3T3 cells.
Affinity Binding Assay: A representative lot of this antibody bound PLD2 peptide with a KD of 1.7 x 10-6 in an affinity binding assay.
Immunohistochemistry (Paraffin) Analysis: A 1:1,000 dilution from a representative lot detected PLD2 in human pancreas and human kidney tissue sections.
Note: Actual optimal working dilutions must be determined by end user as specimens, and experimental conditions may vary with the end user
Anti-PLD2, clone 6F13 ZooMAb, Cat. No. ZRB1629, is a recombinant Rabbit monoclonal antibody that detects Phospholipase D2 and is tested in Affinity Binding Assay, Flow Cytometry and Immunocytochemistry, Immunohistochemistry, and Western Blotting.
Biochem/physiol Actions
Clone 6F13 is a ZooMAb rabbit recombinant monoclonal antibody that specifically detects Phospholipase D2. It targets an epitope within 21 amino acids from the N-terminal region.
Physical form
Purified recombinant rabbit monoclonal antibody IgG, lyophilized in PBS with 5% Trehalose, normal appearance a coarse or translucent resin. Contains no biocide or preservatives, such as azide, or any animal by-products. Larger pack sizes provided as multiples of 25 μL.
Preparation Note
Recommend storage of lyophilized product at 2-8°C; Before reconstitution, micro-centrifuge vials briefly to spin down material to bottom of the vial; Reconstitute each vial by adding 25 μL of filtered lab grade water or PBS; Reconstituted antibodies can be stored at 2-8°C, or -20°C for long term storage. Avoid repeated freeze-thaws.
Reconstitute lyophilized antibody pellet with 25μL of ultrapure water or Phosphate Buffered Saline (PBS). Please refer to our reconstitution protocol and the specific application guidance on the suggested starting dilutions and sample type.
Legal Information
ZooMAb is a registered trademark of Merck KGaA, Darmstadt, Germany
Disclaimer
Unless otherwise stated in our catalog or other company documentation accompanying the product(s), our products are intended for research use only and are not to be used for any other purpose, which includes but is not limited to, unauthorized commercial uses, in vitro diagnostic uses, ex vivo or in vivo therapeutic uses or any type of consumption or application to humans or animals.
存储类别
11 - Combustible Solids
wgk
WGK 1
flash_point_f
Not applicable
flash_point_c
Not applicable
法规信息
常规特殊物品
此项目有
我们的科学家团队拥有各种研究领域经验,包括生命科学、材料科学、化学合成、色谱、分析及许多其他领域.
联系客户支持