SAB6012269
KD-Validated Anti MCM6 Antibody, clone 23GB2005, Rabbit Monoclonal


clone 23GB2005, recombinant rabbit monoclonal, expressed in HEK293 cells
别名:
MIS5, P105MCM
生物来源
rabbit (Monoclonal)
质量水平
重组
expressed in HEK 293 cells
偶联物
unconjugated
抗体形式
affinity isolated antibody
抗体产品类型
primary antibodies
克隆
23GB2005, recombinant monoclonal
表单
buffered aqueous glycerol solution
分子量
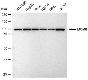
93 kDa
种属反应性
human, rat
包装
vial of 1.5 mL
增强验证
recombinant expression
Learn more about Antibody Enhanced Validation
浓度
0.8 mg/ml
技术
flow cytometry: 1:2000
immunofluorescence: 1:100-:1000
western blot: 1:1,000-1:5,000
同位素/亚型
IgG
基因组数据库 |人类登记号
NCBI登记号
UniProt登记号
运输
wet ice
储存温度
−20°C
靶向翻译后修饰
unmodified
基因信息
human ... MCM6(4175)
一般描述
The protein encoded by this gene is one of the highly conserved mini-chromosome maintenance proteins (MCM) that are essential for the initiation of eukaryotic genome replication. The hexameric protein complex formed by the MCM proteins is a key component of the pre-replication complex (pre_RC) and may be involved in the formation of replication forks and in the recruitment of other DNA replication related proteins. The MCM complex consisting of this protein and MCM2, 4 and 7 proteins possesses DNA helicase activity, and may act as a DNA unwinding enzyme. The phosphorylation of the complex by CDC2 kinase reduces the helicase activity, suggesting a role in the regulation of DNA replication. Single nucleotide polymorphisms in the intron regions of this gene are associated with differential transcriptional activation of the promoter of the neighboring lactase gene and, thereby, influence lactose intolerance in early adulthood. [provided by RefSeq, May 2012]
免疫原
A synthesized peptide corresponding to a sequence within amino acids 601-821 of human MCM6 [NP_005906.2].
外形
Solution in PBS (pH 7.4) containing 50% glycerol, and 0.02% sodium azide.
其他说明
Gently mix before use. Optimal concentrations and conditions for each application should be determined by the user.
未找到合适的产品?
试试我们的产品选型工具.
法规信息
新产品
此项目有
我们的科学家团队拥有各种研究领域经验,包括生命科学、材料科学、化学合成、色谱、分析及许多其他领域.
联系客户支持