跳转至内容
Merck
CN

06-1116

Anti-IL-33R ST2 (IL1RL1) Antibody

from rabbit, purified by affinity chromatography

别名:

interleukin 1 receptor-like 1, interleukin-1 receptor-like 1, growth stimulation-expressed, homolog of mouse growth stimulation-expressed, interleukin 1 receptor-related protein, Protein ST23

登录 查看组织和合同定价。

选择尺寸


关于此项目

UNSPSC Code:
12352203
NACRES:
NA.41
eCl@ss:
32160702
Conjugate:
unconjugated
Species reactivity:
human
Application:
IHC, WB
Citations:
-
技术服务
需要帮助?我们经验丰富的科学家团队随时乐意为您服务。
让我们为您提供帮助
技术服务
需要帮助?我们经验丰富的科学家团队随时乐意为您服务。
让我们为您提供帮助

biological source

rabbit

conjugate

unconjugated

antibody form

affinity isolated antibody

purified by

affinity chromatography

species reactivity

human

species reactivity (predicted by homology)

primate (based on 100% sequence homology), chimpanzee (based on 100% sequence homology)

technique(s)

immunohistochemistry: suitable (paraffin), western blot: suitable

NCBI accession no.

UniProt accession no.

shipped in

wet ice

target post-translational modification

unmodified

General description

Interleukin-1 receptor-like 1 (IL-33R ST2) is a member of the interleukin-1 receptor family, and is comprised of three Ig-like C2-type domains and a single TIR domain. IL-33R ST2 functions as a receptor for IL-33, and, following phosphorylation with MAPKa/ERK2, MAPK3/ERK1, MAPK8 and/ore MAPK14, serves to recruit IRAK1, IRAk4, MYD88, and TRAF6. It is also thought to have a potential role in the function of helper T-cells. High expression has been reported in colon, kidney, lung, placenta, skeletal muscle, small intestines, and the stomach. Isoform A has been noted to be more prevalent in colon, lung, placenta, testis and stomach, while Isoform B has greater presence in brain, liver and kidney.
~30 kDa observed.
UniProtKB/Swiss-Prot Q01638 (ILRL1_HUMAN) entry describes 3 isoforms produced by alternative splicing: Isoform A at 63.358 kDa, Isoform B at 36.993 kDa, Isoform C at 29.951 kDa The ~37 kDa product is the secreted form.

Immunogen

Epitope: Extracellular Domain
KLH-conjugated linear peptide corresponding to the extracellular domain of human IL-33R ST2.

Application

Anti-IL-33R ST2 (IL1RL1) Antibody is an antibody against IL-33R ST2 (IL1RL1) for use in WB, IH(P).
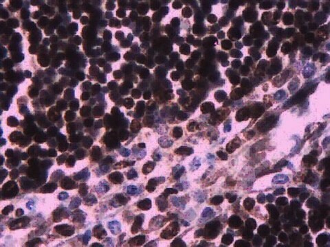
Immunohistochemistry Analysis: A 1:300 dilution from a previous lot detected IL-33R ST2 in normal human thymus tissue.
Research Category
Inflammation & Immunology
Research Sub Category
Cytokines & Cytokine Receptors

Biochem/physiol Actions

This antibody recognizes the extracellular domain of IL-33R ST2.

Physical form

Affinity purified
Purified rabbit polyclonal in buffer containing 0.1 M Tris-Glycine (pH 7.4), 150 mM NaCl with 0.05% sodium azide.

Preparation Note

Stable for 1 year at 2-8°C from date of receipt.

Analysis Note

Control
Human kidney tissue lysate
Evaluated by Western Blot in human kidney tissue lysate.

Western Blot Analysis: 0.5 µg/mL of this antibody detected IL-33R ST2 in 10 µg of human kidney tissue lysate.

Other Notes

Concentration: Please refer to the Certificate of Analysis for the lot-specific concentration.

Disclaimer

Unless otherwise stated in our catalog or other company documentation accompanying the product(s), our products are intended for research use only and are not to be used for any other purpose, which includes but is not limited to, unauthorized commercial uses, in vitro diagnostic uses, ex vivo or in vivo therapeutic uses or any type of consumption or application to humans or animals.

存储类别

12 - Non Combustible Liquids

wgk

WGK 1

flash_point_f

Not applicable

flash_point_c

Not applicable


分析证书(COA)

输入产品批号来搜索 分析证书(COA) 。批号可以在产品标签上"批“ (Lot或Batch)字后找到。

已有该产品?

在文件库中查找您最近购买产品的文档。

访问文档库

我们的科学家团队拥有各种研究领域经验,包括生命科学、材料科学、化学合成、色谱、分析及许多其他领域.

联系客户支持