跳转至内容
Merck
CN

07-290

Anti-acetyl-Histone H2A (Lys5) Antibody

serum, Upstate®

别名:

H2AK5Ac, Histone H2A (acetyl K5)

登录 查看组织和合同定价。

选择尺寸

变更视图

关于此项目

UNSPSC Code:
12352203
NACRES:
NA.41
eCl@ss:
32160702
技术服务
需要帮助?我们经验丰富的科学家团队随时乐意为您服务。
让我们为您提供帮助


biological source

rabbit

Quality Level

antibody form

serum

antibody product type

primary antibodies

clone

polyclonal

species reactivity

human

manufacturer/tradename

Upstate®

technique(s)

western blot: suitable

isotype

IgG

NCBI accession no.

UniProt accession no.

shipped in

wet ice

General description

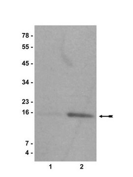
14kDa

Immunogen

peptide RGAcKQG corresponding to acetyl lysine at position 5 of human Histone H2A

Application

Anti-acetyl-Histone H2A (Lys5) Antibody is a Rabbit Polyclonal Antibody for detection of acetyl-Histone H2A (Lys5) also known as H2AK5Ac, Histone H2A (acetyl K5) & has been validated in WB.
Research Category
Epigenetics & Nuclear Function
Research Sub Category
Histones

Biochem/physiol Actions

acetylated Histone H2A

Physical form

Antiserum
Purified rabbit polyclonal in buffer containing 0.1 M Tris-Glycine (pH 7.4, 150 mM NaCl) with 0.05% sodium azide.

Preparation Note

Stable for 1 year at 2-8°C from date of receipt.

Analysis Note

routinely evaluated by immunoblot on sodium butyrate treated acid extracted HeLa cell lysate

Legal Information

UPSTATE is a registered trademark of Merck KGaA, Darmstadt, Germany

Disclaimer

Unless otherwise stated in our catalog or other company documentation accompanying the product(s), our products are intended for research use only and are not to be used for any other purpose, which includes but is not limited to, unauthorized commercial uses, in vitro diagnostic uses, ex vivo or in vivo therapeutic uses or any type of consumption or application to humans or animals.


Still not finding the right product?

试用我们的 产品选型工具 工具缩小选择范围


存储类别

10-13 - German Storage Class 10 to 13



分析证书(COA)

输入产品批号来搜索 分析证书(COA) 。批号可以在产品标签上"批“ (Lot或Batch)字后找到。

已有该产品?

在文件库中查找您最近购买产品的文档。

访问文档库



Schizosaccharomyces pombe Hat1 (Kat1) is associated with Mis16 and is required for telomeric silencing.
Tong, K; Keller, T; Hoffman, CS; Annunziato, AT
Eukaryotic Cell null
Antoine Huguet et al.
PloS one, 9(6), e99121-e99121 (2014-06-13)
Cylindrospermopsin (CYN) is a cyanotoxin that has been recognised as an emerging potential public health risk. Although CYN toxicity has been demonstrated, the mechanisms involved have not been fully characterised. To identify some key pathways related to this toxicity, we