biological source
rabbit
antibody form
purified antibody
antibody product type
primary antibodies
clone
polyclonal
form
liquid
does not contain
preservative
species reactivity
rat, mouse, human
manufacturer/tradename
Calbiochem®
storage condition
OK to freeze, avoid repeated freeze/thaw cycles
isotype
IgG
shipped in
wet ice
storage temp.
−20°C
Gene Information
human ... NFKBIA(4792)
mouse ... Nfkbia(18035)
rat ... Nfkbia(25493)
General description
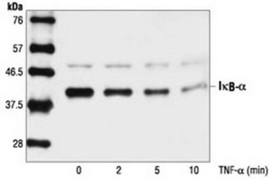
Protein A and immunoaffinity purified rabbit polyclonal antibody. Recognizes the ~36-38 kDa IκBα protein.
Recognizes the ~36-38 kDa phosphorylated and non-phosphorylated forms of IκBα.
This Anti-IκBα Rabbit pAb is validated for use in Immunoblotting, Immunocytochemistry Immunoprecipitation for the detection of IκBα.
Immunogen
a synthetic peptide corresponding to amino acids surrounding Ser³² of human IκBα
Application
Immunoblotting (1:1000, see comments)
Immunocytochemistry (1:2000)
Immunoprecipitation (1:250)
Immunocytochemistry (1:2000)
Immunoprecipitation (1:250)
Other Notes
Chen, Z. J., et al. 1996. Cell84, 853.
Brockman, J.A., et al. 1995. Mol. Cell. Biol.15, 2809.
Brown K., et al. 1995. Science267, 1485.
Traenckner, E.B.-M., et al. 1995. EMBO J.14, 2876.
Brockman, J.A., et al. 1995. Mol. Cell. Biol.15, 2809.
Brown K., et al. 1995. Science267, 1485.
Traenckner, E.B.-M., et al. 1995. EMBO J.14, 2876.
Variables associated with assay conditions will dictate the proper working dilution.
Recommended Protocol for Immunoblotting
Solutions and Reagents
• Transfer Buffer: 25 mM Tris base, 0.2 M glycine, 20% methanol, pH 8.5.
• SDS Sample Buffer: 62.5 mM Tris-HCl, pH 6.8, 2% SDS, 10% glycerol, 50 mM DTT, 0.1% bromophenol blue.
• 10X TBS (Tris-buffered saline): To prepare 1 liter, 24.2 g Tris base, 80 g NaCl, adjust pH to 7.6 with HCl. Dilute 1:10 for use.
• Blocking Buffer: 1X TBS, 0.1% Tween®-20 detergent with 5% non-fat dry milk.
• Primary Antibody Dilution Buffer: 1X TBS, 0.1% Tween-20 detergent with 5% BSA.
• Wash Buffer (TBST): 1X TBS, 0,1% Tween-20 detergent.
Blotting Membrane
Nitrocellulose or PVDF membranes may be used.
Protein Blotting
A general protocol for sample preparation using 2x106 HeLa cells per well in a 6-well plate is as follows:
1. Aspirate media. Treat cells by adding fresh media containing regulator for desired time.
2. Aspirate media from cultures; wash cells with PBS; aspirate.
3. Lyse cells by adding 100 ml SDS Sample Buffer per well and immediately scrape the cells off the plate and transfer the extract to a microfuge tube. Keep on ice.
4. Sonicate for 2 s to shear DNA and reduce sample viscosity.
5. Heat sample to 95-100°C for 5 min. Cool on ice.
6. Microcentrifuge for 5 min.
7. Load 20 ml onto SDS-PAGE gel (10 cm x 10 cm).
8. Electrotransfer to nitrocellulose membrane.
As controls, we recommend using 20 ml of HeLa cell extracts.
Membrane Blocking, Gel and Antibody Incubations
1. After transfer, wash membrane with 25 ml TBS for 5 min at room temperature.
2. Incubate membrane in 25 ml Blocking Buffer for 1-3 h at room temperature or overnight at 4°C.
3. Wash 3 times for 5 min each with 15 ml TBST.
4. Incubate membrane and primary antibody (at the appropriate dilution) in 10 ml Primary Antibody Dilution Buffer with gentle agitation overnight at 4°C.
5. Wash 3 times for 5 min each with 15 ml TBST.
6. Incubate membrane with conjugated secondary antibody at the appropriate dilution in 10 ml Blocking Buffer with gentle agitation for 1 h at room temperature.
7. Wash membrane as in step 5.
Detection of Proteins
Chemiluminescence.
Recommended Protocol for Immunoblotting
Solutions and Reagents
• Transfer Buffer: 25 mM Tris base, 0.2 M glycine, 20% methanol, pH 8.5.
• SDS Sample Buffer: 62.5 mM Tris-HCl, pH 6.8, 2% SDS, 10% glycerol, 50 mM DTT, 0.1% bromophenol blue.
• 10X TBS (Tris-buffered saline): To prepare 1 liter, 24.2 g Tris base, 80 g NaCl, adjust pH to 7.6 with HCl. Dilute 1:10 for use.
• Blocking Buffer: 1X TBS, 0.1% Tween®-20 detergent with 5% non-fat dry milk.
• Primary Antibody Dilution Buffer: 1X TBS, 0.1% Tween-20 detergent with 5% BSA.
• Wash Buffer (TBST): 1X TBS, 0,1% Tween-20 detergent.
Blotting Membrane
Nitrocellulose or PVDF membranes may be used.
Protein Blotting
A general protocol for sample preparation using 2x106 HeLa cells per well in a 6-well plate is as follows:
1. Aspirate media. Treat cells by adding fresh media containing regulator for desired time.
2. Aspirate media from cultures; wash cells with PBS; aspirate.
3. Lyse cells by adding 100 ml SDS Sample Buffer per well and immediately scrape the cells off the plate and transfer the extract to a microfuge tube. Keep on ice.
4. Sonicate for 2 s to shear DNA and reduce sample viscosity.
5. Heat sample to 95-100°C for 5 min. Cool on ice.
6. Microcentrifuge for 5 min.
7. Load 20 ml onto SDS-PAGE gel (10 cm x 10 cm).
8. Electrotransfer to nitrocellulose membrane.
As controls, we recommend using 20 ml of HeLa cell extracts.
Membrane Blocking, Gel and Antibody Incubations
1. After transfer, wash membrane with 25 ml TBS for 5 min at room temperature.
2. Incubate membrane in 25 ml Blocking Buffer for 1-3 h at room temperature or overnight at 4°C.
3. Wash 3 times for 5 min each with 15 ml TBST.
4. Incubate membrane and primary antibody (at the appropriate dilution) in 10 ml Primary Antibody Dilution Buffer with gentle agitation overnight at 4°C.
5. Wash 3 times for 5 min each with 15 ml TBST.
6. Incubate membrane with conjugated secondary antibody at the appropriate dilution in 10 ml Blocking Buffer with gentle agitation for 1 h at room temperature.
7. Wash membrane as in step 5.
Detection of Proteins
Chemiluminescence.
Legal Information
CALBIOCHEM is a registered trademark of Merck KGaA, Darmstadt, Germany
TWEEN is a registered trademark of Croda International PLC
Disclaimer
Toxicity: Standard Handling (A)
Still not finding the right product?
试用我们的 产品选型工具 工具缩小选择范围
存储类别
10 - Combustible liquids
wgk
WGK 1
Angelika Neuhofer et al.
Diabetes, 62(6), 1945-1956 (2013-01-26)
Obesity-induced chronic low-grade inflammation originates from adipose tissue and is crucial for obesity-driven metabolic deterioration, including insulin resistance and type 2 diabetes. Chronic inflammation may be a consequence of a failure to actively resolve inflammation and could result from a