跳转至内容
Merck
CN

AB2266

Anti-VPAC2 Antibody

from rabbit, purified by affinity chromatography

别名:

vasoactive intestinal peptide receptor 2, Helodermin-preferring VIP receptor, Pituitary adenylate cyclase-activating polypeptide type III receptor, vasoactive intestinal polypeptide receptor 2, PACAP type III receptor

登录 查看组织和合同定价。

选择尺寸


关于此项目

UNSPSC Code:
12352203
NACRES:
NA.41
eCl@ss:
32160702
技术服务
需要帮助?我们经验丰富的科学家团队随时乐意为您服务。
让我们为您提供帮助
技术服务
需要帮助?我们经验丰富的科学家团队随时乐意为您服务。
让我们为您提供帮助

biological source

rabbit

antibody form

affinity isolated antibody

antibody product type

primary antibodies

clone

polyclonal

purified by

affinity chromatography

species reactivity

human

species reactivity (predicted by homology)

pig (based on 100% sequence homology), bovine (based on 100% sequence homology), rhesus macaque (based on 100% sequence homology), rat (based on 100% sequence homology)

technique(s)

immunohistochemistry: suitable (paraffin), western blot: suitable

NCBI accession no.

UniProt accession no.

shipped in

wet ice

target post-translational modification

unmodified

Gene Information

human ... VIPR2(7434)

General description

Vasoactive intestinal polypeptide receptor 2 (VPAC2), also known as PACAP type III receptor or PACAP-R3 for short, is a class B G-protein-coupled receptor. Three distinct PACAP receptors have been identified. Of the three, only PACAP-3 has been found expressed in Sartoli cells of the testis and is coupled to G and adenylyl cyclase, thus having a potential influence on the production of cAMP. In the immune system, PACAP-R3 is expressed on stimulated CD4 T cells, and binding of T cell-derived VIP to-PACAP-R3 induces a shift toward the Th2 pathway. In addition, PACAP-R3 is an essential regulator of the circadian pacemaker of the hypothalamic suprachiasmatic nuclei (SCN).
~52 kDa observed. An uncharacterized band appears at ~39 kDa in some lysates.

Immunogen

KLH-conjugated linear peptide corresponding to the extracellular domain of human VPAC2 (PACAP-R3).

Application

Anti-VPAC2 Antibody is an antibody against VPAC2 for use in WB, IH(P).
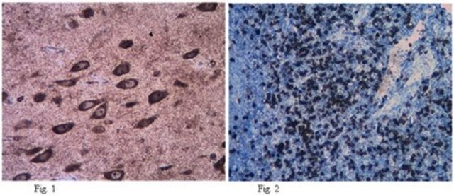
Immunohistochemistry Analysis: 1:400 dilution from a previous lot detected VPAC2 in normal human cerebral cortex and T cells inside the mantle zone of normal human tonsil tissues.

Biochem/physiol Actions

Other homologies: mouse (84% sequence homology).
This antibody recognizes VCAP2 (PACAP-R3) at the extracellular domain.

Analysis Note

Evaluated by Western Blot in Jurkat cell lysate.

Western Blot Analysis: 0.5 µg/mL of this antibody detected VPAC2 on 10 µg of Jurkat cell lysate.

Other Notes

Concentration: Please refer to the Certificate of Analysis for the lot-specific concentration.

未找到合适的产品?  

试试我们的产品选型工具.

存储类别

12 - Non Combustible Liquids

wgk

WGK 1

flash_point_f

Not applicable

flash_point_c

Not applicable


分析证书(COA)

输入产品批号来搜索 分析证书(COA) 。批号可以在产品标签上"批“ (Lot或Batch)字后找到。

已有该产品?

在文件库中查找您最近购买产品的文档。

访问文档库

Liwen Chen et al.
Investigative ophthalmology & visual science, 59(7), 2848-2860 (2018-07-20)
To investigate the roles of vasoactive intestinal peptides (VIPs) in regulating the morphology and F-actin distribution of Schlemm's canal (SC) of rat eyes. Chronic intraocular pressure (IOP) hypertension models with episcleral venous cauterization (EVC) were treated with topical VIP or
Xiaoqin Yan et al.
Investigative ophthalmology & visual science, 61(6), 45-45 (2020-06-24)
A previous study reported that vasoactive intestinal peptide (VIP) can regulate the cytoskeleton of Schlemm's canal (SC) endothelium and expand the SC lumen in a rat glaucoma model. In this study, we aimed to investigate the molecular mechanism of VIP
Jayden Lee et al.
International journal of molecular sciences, 24(13) (2023-07-14)
Neuropsychiatric systemic lupus erythematosus (NPSLE) is one of the most common and severe manifestations of lupus; however, its pathogenesis is still poorly understood. While there is sparse evidence suggesting that the ongoing autoimmunity may trigger pathogenic changes to the central
Ana Florencia Vega-Benedetti et al.
International journal of molecular sciences, 21(12) (2020-07-01)
Colorectal cancer (CRC) is a major cause of cancer mortality. Early diagnosis is relevant for its prevention and treatment. Since DNA methylation alterations are early events in tumourigenesis and can be detected in cell-free DNA, they represent promising biomarkers for

我们的科学家团队拥有各种研究领域经验,包括生命科学、材料科学、化学合成、色谱、分析及许多其他领域.

联系客户支持