跳转至内容
Merck
CN

ABN1376

抗-RBPMS抗体

from guinea pig, purified by affinity chromatography

别名:

RNA-binding protein with multiple splicing, RBPMS, RBP-MS, Heart and RRM expressed sequence, Hermes

登录 查看组织和合同定价。

选择尺寸


关于此项目

eCl@ss:
32160702
UNSPSC Code:
12352203
技术服务
需要帮助?我们经验丰富的科学家团队随时乐意为您服务。
让我们为您提供帮助
技术服务
需要帮助?我们经验丰富的科学家团队随时乐意为您服务。
让我们为您提供帮助

biological source

guinea pig

antibody form

affinity isolated antibody

antibody product type

primary antibodies

clone

polyclonal

purified by

affinity chromatography

species reactivity

human, rat, mouse, guinea pig, monkey, rabbit

technique(s)

immunofluorescence: suitable, western blot: suitable

NCBI accession no.

UniProt accession no.

shipped in

wet ice

target post-translational modification

unmodified

Gene Information

human ... RBPMS(11030)

General description

具有多重剪接的RNA结合蛋白(UniProt Q93062;也称为心脏和RRM表达序列,Hermes,RBP-MS)由人的RBPMS(也称为HERMES)基因(基因ID 11030)编码。RBPMS是RNA结合蛋白RRM(RNA识别基序)家族的成员。在HEK293细胞中使用光活性增强的核糖核苷交联和免疫共沉淀(PAR-CLIP)进行的转录组研究揭示了外显子成熟和内含子pre-mRNA结合位点,与RRM家族蛋白的核和细胞质定位一致。发现RBPMS仅在视网膜神经节细胞(RGC)和置换RGC(dRGC)中表达。因此,可以将RBPMS表达用作RGC标志物,并且可以将RBPMS基因启动子用于驱动RGC特异性转基因表达。
观测值〜25 kDa

Immunogen

KLH偶联线性肽,对应于人RBPMS的N端结构域的序列。
表位:N端结构域

Application

抗RBPMS抗体是用于蛋白质印迹,免疫荧光的针对RBPMS的抗体。
研究子类别
感官 & PNS
研究类别
神经科学
蛋白印迹分析:代表性批次在小鼠和大鼠视网膜提取物中检测到内源性RBPMS,并在转染的HEK293T细胞中检测到外源性表达的人RBPMS(Rodriguez,A.R.,et al.(2014).J. Comp.Neurol.522(6):1411-1443)。
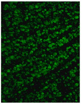
免疫荧光分析:一个代表性批次通过使用整铺视网膜的荧光免疫组化检测到主要与位于多聚甲醛固定的小鼠视网膜的神经节细胞层(GCL)中的细胞体相关的RBPMS免疫反应性(Rodriguez,A.R.,et al.(2014).J. Comp.Neurol.522(6):1411-1443)。
免疫荧光分析:代表性批次的1:5,000稀释液通过荧光免疫组化检测了多聚甲醛固定的小鼠视网膜神经节细胞层(GCL)中细胞之间的RBPMS免疫反应性(由加州大学洛杉矶分校戴维·格芬医学院的Nicholas Brecha博士提供)。

Biochem/physiol Actions

预期与全部5种剪接异构体(UniProt Q93062-1至Q93062-5)反应。

Physical form

亲和纯化
纯化豚鼠多克隆抗体,PBS溶液(含1 % BSA和0.09%叠氮钠)。

Preparation Note

自收到之日起,在2-8°C条件下可稳定保存1年。

Analysis Note

通过蛋白质印迹在小鼠胚胎干细胞(mESC)裂解液中进行了评估。

蛋白质印迹分析:2.0 µg/mL的该抗体在10 µg小鼠胚胎干细胞(mESC)裂解液中检测到RBPMS。

Other Notes

浓度:请参考特定批次的数据表。

Disclaimer

除非我们的产品目录或产品附带的其他公司文档另有说明,否则我们的产品仅供研究使用,不得用于任何其他目的,包括但不限于未经授权的商业用途、体外诊断用途、离体或体内治疗用途或任何类型的消费或应用于人类或动物。

未找到合适的产品?  

试试我们的产品选型工具.

存储类别

12 - Non Combustible Liquids

wgk

WGK 2

flash_point_f

Not applicable

flash_point_c

Not applicable

法规信息

新产品
此项目有

分析证书(COA)

输入产品批号来搜索 分析证书(COA) 。批号可以在产品标签上"批“ (Lot或Batch)字后找到。

已有该产品?

在文件库中查找您最近购买产品的文档。

访问文档库

Wolfgang Pita-Thomas et al.
Scientific reports, 11(1), 14924-14924 (2021-07-23)
Retinal Ganglion Cells (RGCs) lose their ability to grow axons during development. Adult RGCs thus fail to regenerate their axons after injury, leading to vision loss. To uncover mechanisms that promote regeneration of RGC axons, we identified transcription factors (TF)
Sally L Baxter et al.
Scientific reports, 10(1), 19013-19013 (2020-11-06)
Glaucoma disproportionately affects individuals of African descent. Prior studies of the PIEZO1 mechanoreceptor have suggested a possible role in glaucoma pathophysiology. Here, we investigated associations between a Piezo1 gain-of-function variant common in individuals of African descent with glaucoma-related phenotypes. We
Yadan Quan et al.
Experimental and therapeutic medicine, 19(1), 619-629 (2019-12-31)
Leucine-rich repeat and immunoglobulin-like domain-containing nogo receptor-interacting protein 1 (lingo-1) is selectively expressed on neurons and oligodendrocytes in the central nervous system and acts as a negative regulator in neural repair, implying a potential role in optic neuropathy. The aim
Jacob K Sterling et al.
Cell reports, 33(5), 108271-108271 (2020-11-05)
Glaucoma is the leading cause of irreversible blindness and is characterized by the death of retinal ganglion cells (RGCs). Recent studies have implicated pro-inflammatory microglia, macrophages, and A1 astrocytes in the pathogenesis of neurodegenerative diseases. The role of pro-inflammatory, neurotoxic
Rebecca King et al.
PLoS genetics, 14(1), e1007145-e1007145 (2018-01-26)
Central corneal thickness (CCT) is one of the most heritable ocular traits and it is also a phenotypic risk factor for primary open angle glaucoma (POAG). The present study uses the BXD Recombinant Inbred (RI) strains to identify novel quantitative

相关内容

Alzheimer’s Disease is a progressively deteriorating disease. It manifests itself with memory loss, confusion, problems with judgment, planning, concentration, and personality changes; and in it’s later stages, a decline in physical abilities. The disease’s causes, cures, and preventions are unknown; however, key proteins likely involved in the degenerative mechanism have been identified. Alzheimer’s Disease is characterized by neuronal loss, alterations in neurotransmitter systems, and the presence of neurofibrillary tangles composed of abnormally hyperphosphorylated tau proteins. A prominent feature of Alzheimer’s Disease is the formation of senile plaques in selected regions of the brain. The center of these plaques are composed mainly of fibrillary aggregates of a common, but not well understood, b amyloid peptides (Aβ). The Aβ peptides are generated from the larger amyloid-β precursor protein (APP) by the sequential action of β- and γ-secretase, and it is generally accepted that oligomeric forms of this Aβ are neurotoxic, resulting in disease progression.

我们的科学家团队拥有各种研究领域经验,包括生命科学、材料科学、化学合成、色谱、分析及许多其他领域.

联系客户支持