跳转至内容
Merck
CN

ABT404

Anti-CAPN6 Antibody

from rabbit, purified by affinity chromatography

别名:

Calpain-6, Calpain-like protease X-linked, Calpamodulin, CalpM

登录 查看组织和合同定价。

选择尺寸

变更视图

关于此项目

UNSPSC Code:
12352203
NACRES:
NA.41
eCl@ss:
32160702
Conjugate:
unconjugated
Clone:
polyclonal
Application:
IF, IHC, WB
Citations:
-
技术服务
需要帮助?我们经验丰富的科学家团队随时乐意为您服务。
让我们为您提供帮助


biological source

rabbit

conjugate

unconjugated

antibody form

affinity isolated antibody

antibody product type

primary antibodies

clone

polyclonal

purified by

affinity chromatography

species reactivity

rat, human

technique(s)

immunofluorescence: suitable, immunohistochemistry: suitable, western blot: suitable

UniProt accession no.

shipped in

wet ice

target post-translational modification

unmodified

Gene Information

human ... CAPN6(827)

General description

Calpain-6, also known as Calpain-like protease X-linked or Calpamodulin (CalpM) and encoded by the gene name CAPN6 or CALPM, belongs to a well-conserved family of calcium-dependent cysteine proteases. The calpain proteins are heterodimers consisting of an invariant small subunit and variable large subunits. This large subunit possesses a cysteine protease domain, and both subunits possess calcium-binding domains. Calpains have been implicated in neurodegenerative processes as their activation can be triggered by calcium influx and oxidative stress. CAPN6 is most similar to Calpain 5; the C-terminal region of CAPN6 lacks homology to the calmodulin like domain of other vertebrate calpains. CAPN6 is thought to be involved in the regulation of microtubule dynamics and cytoskeletal organization. CAPN6 has also been recently identified as an HIV dependency factor (HDF), suggesting that CAPN6 may be an important drug target in HIV treatment.
~75 kDa observed. Uncharacterized bands may be observed in some lysate(s).

Immunogen

Epitope: C-terminus
KLH-conjugated synthetic peptide corresponding to the C-terminus of human CAPN6.

Application

Anti-CAPN6 Antibody is an antibody against CAPN6 for use in western blotting, IHC & immunofluorescence.
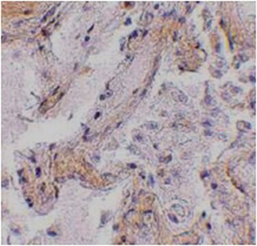
Immunohistochemistry Analysis: 2.5 μg/mL from a representative lot detected CAPN6 in human lung tissue.

Immunofluorescence Analysis: 20 μg/mL from a representative lot detected CAPN6 in human lung cells.
Research Category
Cell Structure
Research Sub Category
Cytoskeleton

Physical form

Antigen Affinity Purified
Purified rabbit polyclonal in buffer containing PBS with up to 0.1% sodium azide.

Preparation Note

Stable for 1 year at 2-8°C from date of receipt.

Analysis Note

Evaluated by Western Blotting in rat lung tissue lysate.

Western Blotting Analysis: 1 μg/mL of this antibody detected CAPN6 in rat lung tissue lysate.

Other Notes

Concentration: Please refer to the Certificate of Analysis for the lot-specific concentration.

Disclaimer

Unless otherwise stated in our catalog or other company documentation accompanying the product(s), our products are intended for research use only and are not to be used for any other purpose, which includes but is not limited to, unauthorized commercial uses, in vitro diagnostic uses, ex vivo or in vivo therapeutic uses or any type of consumption or application to humans or animals.


Still not finding the right product?

试用我们的 产品选型工具 工具缩小选择范围


wgk

WGK 2

flash_point_f

Not applicable

flash_point_c

Not applicable

存储类别

12 - Non Combustible Liquids



分析证书(COA)

输入产品批号来搜索 分析证书(COA) 。批号可以在产品标签上"批“ (Lot或Batch)字后找到。

已有该产品?

在文件库中查找您最近购买产品的文档。

访问文档库