跳转至内容
Merck
CN

MABE1785

Anti-Ubiquitinated Histone H2B (Lys123) Antibody, clone 1B3F12/A9

clone 1B3F12/A9, from mouse

别名:

Histone H2B K123 Ub1, Histone H2B.2 UbK123

登录 查看组织和合同定价。

选择尺寸


关于此项目

UNSPSC Code:
12352203
NACRES:
NA.41
eCl@ss:
32160702
Conjugate:
unconjugated
Clone:
1B3F12/A9, monoclonal
Application:
ChIP, WB
Citations:
-
技术服务
需要帮助?我们经验丰富的科学家团队随时乐意为您服务。
让我们为您提供帮助
技术服务
需要帮助?我们经验丰富的科学家团队随时乐意为您服务。
让我们为您提供帮助

biological source

mouse

conjugate

unconjugated

antibody form

purified immunoglobulin

antibody product type

primary antibodies

clone

1B3F12/A9, monoclonal

species reactivity

yeast, human

packaging

antibody small pack of 25 μg

technique(s)

ChIP: suitable, western blot: suitable

isotype

IgG1κ

NCBI accession no.

UniProt accession no.

shipped in

ambient

target post-translational modification

unmodified

Quality Level

Gene Information

Saccharomyces cerevisiae ... Htb2(852284)
human ... H2BC1(255626)

General description

Histone H2B.2 (UniProt: P02294) is encoded by the HTB2 (also known as H2B2) gene (Gene ID: 852284) in Saccharomyces cerevisiae (yeast). Histones are basic nuclear proteins that are responsible for the nucleosome structure of chromatin in eukaryotes. Two molecules of each of the four core histones (H2A, H2B, H3, and H4) form an octamer, around which DNA is wrapped in repeating units, called nucleosomes, which limits DNA accessibility to the cellular machineries, which require DNA as a template. Histones thereby play a central role in transcription regulation, DNA repair, DNA replication and chromosomal stability. DNA accessibility is regulated via a complex set of post-translational modifications of histones, also called histone code, and nucleosome remodeling. Histone H2B is one of the main histone proteins involved in the structure of chromatin in eukaryotic cells. Featuring a main globular domain and a long N terminal tail, H2B is involved with the structure of the nucleosomes of the ′beads on a string′ structure. Histone H2B can be monoubiquitinated on Lysine123 by RAD6/UBC2-BRE1 complex to form H2BK123Ub1 complex that gives a specific tag for epigenetic transcriptional activation and is also a prerequisite for H3K4me and H3K79me formation. H2BK123ub1 is reported to modulates the formation of double-strand breaks during meiosis and is a required for DNA-damage checkpoint activation. Histone H2B is phosphorylated by STE20 to form H2BS10ph during progression through meiotic prophase and may be correlated with chromosome condensation. Histone H2B can undergo acetylation by GCN5, a component of the SAGA complex, to form H2BK11ac and H2BK16ac. Acetylation of N-terminal lysines and particularly formation of H2BK11acK16ac has a positive effect on transcription.
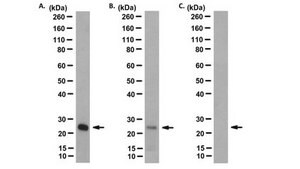
~23 kDa observed; 14.25 kDa calculated. Uncharacterized bands may be observed in some lysate(s).

Immunogen

Conjugated linear peptide corresponding to 16 amino acids from the C-terminal region of yeast Histone H2B ubiquitinated at Lysine 123.

Application

Anti-Ubiquitinated Histone H2B (Lys123), clone 1B3F12/A9 Antibody, Cat. No. MABE1785, is a highly specific mouse monoclonal antibody, that targets ubiquitinated Histone H2B and has been tested in Chromatin Immunoprecipitation (ChIP) and Western Blotting.
Research Category
Epigenetics & Nuclear Function
Western Blotting Analysis: 2 µg/mL from a representative lot detected Ubiquitinated Histone H2B (Lys123) in wild type whole cell yeast extracts and ubp8 knockout whole cell yeast extracts.

Chromatin Immunoprecipitation (ChIP) Analysis: A representative lot detected Ubiquitinated Histone H2B (Lys123) in H2BK123ub relative to H2B at the coding sequence of the SPA2 gene in budding yeast (relative to WT) (Courtesy of Fred van Leeuwen, Ph.D., Division of Gene Regulation B4, The Netherlands Cancer Institute Plesmanlaan 121, Amsterdam Netherlands).

Biochem/physiol Actions

Clone 1B3F12/A9 detects K123 ubiquitinated histone H2B in human and yeast. It targets an epitope within 16 amino acids from the C-terminal region of ubiquitinated yeast Histone H2B.

Physical form

Format: Purified
Protein G purified
Purified mouse monoclonal antibody IgG1 in buffer containing 0.1 M Tris-Glycine (pH 7.4), 150 mM NaCl with 0.05% sodium azide.

Preparation Note

Stable for 1 year at 2-8°C from date of receipt.

Analysis Note

Evaluated by Western Blotting in HeLa cell acid extract.

Western Blotting Analysis: 2 µg/mL of this antibody detected Ubiquitinated Histone H2B (Lys123) in HeLa cell acid extract.

Other Notes

Concentration: Please refer to lot specific datasheet.

Disclaimer

Unless otherwise stated in our catalog or other company documentation accompanying the product(s), our products are intended for research use only and are not to be used for any other purpose, which includes but is not limited to, unauthorized commercial uses, in vitro diagnostic uses, ex vivo or in vivo therapeutic uses or any type of consumption or application to humans or animals.

未找到合适的产品?  

试试我们的产品选型工具.

存储类别

12 - Non Combustible Liquids

wgk

WGK 1

flash_point_f

does not flash

flash_point_c

does not flash


分析证书(COA)

输入产品批号来搜索 分析证书(COA) 。批号可以在产品标签上"批“ (Lot或Batch)字后找到。

已有该产品?

在文件库中查找您最近购买产品的文档。

访问文档库

我们的科学家团队拥有各种研究领域经验,包括生命科学、材料科学、化学合成、色谱、分析及许多其他领域.

联系客户支持