跳转至内容
Merck
CN

MABE426-I

Anti-Sirt1(Sir2) Antibody, clone 3-10 Antibody, rabbit monoclonal

clone 3-10, from rabbit

别名:

NAD-dependent protein deacetylase sirtuin-1, Regulatory protein SIR2 homolog 1, SIR2-like protein 1, SIR2alpha, Sir2, mSIR2a

登录 查看组织和合同定价。

选择尺寸


关于此项目

UNSPSC Code:
12352203
NACRES:
NA.41
eCl@ss:
32160702
Conjugate:
unconjugated
Clone:
3-10, monoclonal
Application:
IHC, WB
Citations:
-
技术服务
需要帮助?我们经验丰富的科学家团队随时乐意为您服务。
让我们为您提供帮助
技术服务
需要帮助?我们经验丰富的科学家团队随时乐意为您服务。
让我们为您提供帮助

biological source

rabbit

conjugate

unconjugated

antibody form

unpurified

antibody product type

primary antibodies

clone

3-10, monoclonal

species reactivity

mouse

packaging

antibody small pack of 25 μL

technique(s)

immunohistochemistry: suitable (paraffin), western blot: suitable

isotype

IgG

NCBI accession no.

UniProt accession no.

target post-translational modification

unmodified

Gene Information

mouse ... Sirt1(93759)

General description

NAD-dependent protein deacetylase sirtuin-1 (UniProt: Q923E4; also known as Regulatory protein SIR2 homolog 1, SIR2-like protein 1, SIR2alpha, Sir2, mSIR2a, Sirt-1) is encoded by the Sirt1 (also known as Sir2l1) gene (Gene ID: 93759) in murine species. Sirt1 is a NAD-dependent protein deacetylase that is widely expressed and links transcriptional regulation directly to intracellular energetics. In liver, Sirt1 is expressed in a circadian manner with maximal and minimal levels reaching at around Zeitgeber time (ZT) 16 and ZT4, respectively and its deacetylase activity is also regulated in a circadian manner that peaks at ZT15. It participates in the coordination of several cellular functions such as cell cycle, response to DNA damage, metabolism, apoptosis, and autophagy. It is shown to modulate chromatin function through deacetylation of histones and can promote alterations in the methylation of histones and DNA, leading to transcriptional repression. It deacetylates a broad range of transcription factors and coregulators, thereby regulating target gene expression in both positive and negative manner. Sirt1 serves as a sensor of the cytosolic ratio of NAD+/NADH, which is altered by glucose deprivation and metabolic changes associated with caloric restriction. Sirt1 has four nucleotide (NAD)-binding regions and four zinc binding sites. It is reported to shuttle between nucleus and cytoplasm. Sir1 is proteolytically cleaved by cathepsin B upon TNF-alpha treatment to yield a catalytic inactive but stable 75 kDa fragment (aa 2-525). Sirt1 can be phosphorylated by multiple protein kinases. It is phosphorylated by STK4/MST1 that results in inhibition of SIRT1-mediated p53/TP53 deacetylation and phosphorylation by MAPK8/JNK1 at serine 46 and threonine 522 is reported to increase its nuclear localization and enzymatic activity. Sirt1 phosphorylation at threonine 522 by DYRK1A and DYRK3 activates its deacetylase activity and can promote cell survival.
~110 kDa observed; 80.37 kDa calculated. Uncharacterized bands may be observed in some lysate(s).

Immunogen

His-tagged full-length recombinant mouse NAD-dependent protein deacetylase sirtuin-1 (Sirt1).

Application

Anti-Sirt1(Sir2), clone 3-10, Cat. No. MABE426-I, is a highly specific rabbit monoclonal antibody that targets NAD-dependent protein deacetylase sirtuin-1 and has been tested for use in Immunohistochemistry (Paraffin) and Western Blotting.
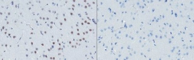
Immunohistochemistry (Paraffin) Analysis: A 1:250 dilution from a representative lot detected Sirt1(Sir2) in mouse cerebral cortex tissue sections.
Research Category
Epigenetics & Nuclear Function

Biochem/physiol Actions

Clone 3-10 specifically detects murine Sirt1.

Physical form

Format: Unpurified
Rabbit monoclonal antibody in cell culture supernatant with 0.05% sodium azide.
Unpurified

Preparation Note

Stable for 1 year at -20°C from date of receipt. Handling Recommendations: Upon receipt and prior to removing the cap, centrifuge the vial and gently mix the solution. Aliquot into microcentrifuge tubes and store at -20°C. Avoid repeated freeze/thaw cycles, which may damage IgG and affect product performance.

Analysis Note

Evaluated by Western Blotting in NIH/3T3 cell lysate.

Western Blotting Analysis: A 1:5,000 dilution of this antibody detected Sirt1(Sir2) in NIH/3T3 cell lysate.

Other Notes

Concentration: Please refer to lot specific datasheet.

Disclaimer

Unless otherwise stated in our catalog or other company documentation accompanying the product(s), our products are intended for research use only and are not to be used for any other purpose, which includes but is not limited to, unauthorized commercial uses, in vitro diagnostic uses, ex vivo or in vivo therapeutic uses or any type of consumption or application to humans or animals.

未找到合适的产品?  

试试我们的产品选型工具.

法规信息

新产品
此项目有

分析证书(COA)

输入产品批号来搜索 分析证书(COA) 。批号可以在产品标签上"批“ (Lot或Batch)字后找到。

已有该产品?

在文件库中查找您最近购买产品的文档。

访问文档库

我们的科学家团队拥有各种研究领域经验,包括生命科学、材料科学、化学合成、色谱、分析及许多其他领域.

联系客户支持