跳转至内容
Merck
CN

MABE569

Anti-CK1, clone 3C10F7 Antibody

ascites fluid, clone 3C10F7, from mouse

别名:

Casein kinase I isoform alpha, CKI-alpha, CK1

登录 查看组织和合同定价。

选择尺寸

变更视图

关于此项目

UNSPSC Code:
12352203
NACRES:
NA.41
eCl@ss:
32160702
技术服务
需要帮助?我们经验丰富的科学家团队随时乐意为您服务。
让我们为您提供帮助

biological source

mouse

antibody form

ascites fluid

antibody product type

primary antibodies

clone

3C10F7, monoclonal

species reactivity

human

technique(s)

immunohistochemistry: suitable

UniProt accession no.

shipped in

wet ice

target post-translational modification

unmodified

Gene Information

human ... CSNK1A1(1452)

General description

39 kDa calculated
Casein kinase I isoform alpha (CKI-alpha), also known as CK1, and encoded by the gene name CSNK1A1, is a member of the keratin family. Cytokeratins play a critical role in differentiation and tissue specialization, and they function to maintain the overall structural integrity of epithelial cells.CK1 consist of basic or neutral proteins which are arranged in pairs of heterotypic keratin chains coexpressed during differentiation of simple and stratified epithelial tissues. CK1 is specifically expressed in the spinous and granular layers of the epidermis with family member KRT10 and mutations in these genes have been associated with bullous congenital ichthyosiform erythroderma.

Immunogen

Purified recombinant fragment of human CK1 expressed in E. Coli

Application

Anti-CK1, clone 3C10F7 Antibody detects level of CK1 & has been published & validated for use in CK1.

Analysis Note

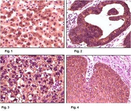
Immunohistochemistry Analysis: A 1:200-1,000 dilution from a representative lot detected CK1 in human liver, colon carcinoma, lung carcinoma and esophagus tissues.

未找到合适的产品?  

试试我们的产品选型工具.

存储类别

12 - Non Combustible Liquids

wgk

nwg

flash_point_f

Not applicable

flash_point_c

Not applicable


分析证书(COA)

输入产品批号来搜索 分析证书(COA) 。批号可以在产品标签上"批“ (Lot或Batch)字后找到。

已有该产品?

在文件库中查找您最近购买产品的文档。

访问文档库

我们的科学家团队拥有各种研究领域经验,包括生命科学、材料科学、化学合成、色谱、分析及许多其他领域.

联系客户支持