biological source
mouse
antibody form
purified antibody
antibody product type
primary antibodies
clone
31M1, monoclonal
species reactivity
human
technique(s)
immunocytochemistry: suitable, immunohistochemistry: suitable (paraffin), western blot: suitable
isotype
IgG1κ
NCBI accession no.
UniProt accession no.
shipped in
wet ice
target post-translational modification
acetylation (Lys229/Lys230)
Gene Information
human ... NPM1(4869)
General description
33 kDa calculated
Nucleophosmin/B23 is a major nucleolar phosphoprotein that is mainly located within the nucleolar granular compartment, where preribosomes are assembled. Nucleophosmin/B23 is a multifunctional protein that is overexpressed in actively proliferating cells and cancer cells. Antibodies against B23 might be useful for recognition of human peripheral lymphocytes at early stages of their activation for proliferation, preceding the S-phase. By parallel immunolabeling with the anti-Ki-67 antibody, it was shown that the early changes of B23 amount and localization occurred before an appearance of Ki-67 protein, a well-known marker of proliferating cells.
Immunogen
Linear peptide corresponding to human Acetylated Nucleophosmin.
Application
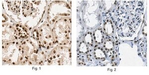
Immunohistochemistry Analysis: A 1:250 dilution from a representative lot detected Acetylated Nucleophosmin in kidney tissue.
Western Blotting Analysis: A representative lot detected Acetylated Nucleophosmin in acetylated and non-acetylated (mock acetylation control) forms of recombinant NPM1 and whole cell extract of HEK293T cell line (Prof. T K Kundu, Nehru Centre for Advanced Scientific Research, JNCASR).
Immunocytochemistry Analysis: A representative lot detected Acetylated Nucleophosmin in HEK293 cells (Prof. T K Kundu, Nehru Centre for Advanced Scientific Research, JNCASR).
Immunohistochemistry Analysis: A representative lot detected Acetylated Nucleophosmin in paraffin embedded sections of human oral cancer tissue and adjacent normal tissue (Prof. T K Kundu, Nehru Centre for Advanced Scientific Research, JNCASR).
Western Blotting Analysis: A representative lot detected Acetylated Nucleophosmin in acetylated and non-acetylated (mock acetylation control) forms of recombinant NPM1 and whole cell extract of HEK293T cell line (Prof. T K Kundu, Nehru Centre for Advanced Scientific Research, JNCASR).
Immunocytochemistry Analysis: A representative lot detected Acetylated Nucleophosmin in HEK293 cells (Prof. T K Kundu, Nehru Centre for Advanced Scientific Research, JNCASR).
Immunohistochemistry Analysis: A representative lot detected Acetylated Nucleophosmin in paraffin embedded sections of human oral cancer tissue and adjacent normal tissue (Prof. T K Kundu, Nehru Centre for Advanced Scientific Research, JNCASR).
Research Category
Epigenetics & Nuclear Function
Epigenetics & Nuclear Function
Research Sub Category
Nuclear Receptors
Nuclear Receptors
This Anti-Acetylated Nucleophosmin Antibody, clone 31M1 is validated for use in Immunohistochemistry (Paraffin) and Western Blotting and Immunocytochemistry for the detection of Acetylated Nucleophosmin.
Physical form
Format: Purified
Protein G Purified
Purified mouse monoclonal IgG1κ in buffer containing 0.1 M Tris-Glycine (pH 7.4), 150 mM NaCl with 0.05% sodium azide.
Preparation Note
Stable for 1 year at 2-8°C from date of receipt.
Analysis Note
Evaluated by Immunohistochemistry in human kidney tissue.
Immunohistochemistry Analysis: A 1:50 dilution of this antibody detected Acetylated Nucleophosmin in kidney tissue.
Immunohistochemistry Analysis: A 1:50 dilution of this antibody detected Acetylated Nucleophosmin in kidney tissue.
Other Notes
Concentration: Please refer to lot specific datasheet.
Disclaimer
Unless otherwise stated in our catalog or other company documentation accompanying the product(s), our products are intended for research use only and are not to be used for any other purpose, which includes but is not limited to, unauthorized commercial uses, in vitro diagnostic uses, ex vivo or in vivo therapeutic uses or any type of consumption or application to humans or animals.
未找到合适的产品?
试试我们的产品选型工具.
存储类别
12 - Non Combustible Liquids
wgk
WGK 1
flash_point_f
Not applicable
flash_point_c
Not applicable
我们的科学家团队拥有各种研究领域经验,包括生命科学、材料科学、化学合成、色谱、分析及许多其他领域.
联系客户支持