biological source
mouse
conjugate
unconjugated
antibody form
purified immunoglobulin
antibody product type
primary antibodies
clone
N4/49, monoclonal
species reactivity
human
technique(s)
immunohistochemistry: suitable, western blot: suitable
isotype
IgG1κ
NCBI accession no.
UniProt accession no.
shipped in
wet ice
target post-translational modification
unmodified
Gene Information
human ... PINK1(65018)
General description
Mutations in the PTEN-induced kinase 1 (PINK1) gene located within the PARK6 locus on chromosome 1p35-p36 have recently been identified in patients with recessive early-onset Parkinson disease. Data suggests that PINK1 may be the second most common causative gene next to parkin in parkinsonism with the recessive mode of inheritance.
63 kDa Observed
Application
This Anti-PINK1 Antibody, clone N4/49 is validated for use in IH, WB for the detection of PINK1.
Western Blot Analysis: A previous lot of MABN18 recognized PINK1 in HEK cells and a rat brain LSP, as reported by an independent laboratory (UC Davis/NIH NeuroMab Facility; www.neuromab.org/neuromab@ucdavis.edu).
Biochem/physiol Actions
This antibody recognizes PINK1.
Physical form
Format: Purified
Analysis Note
Control
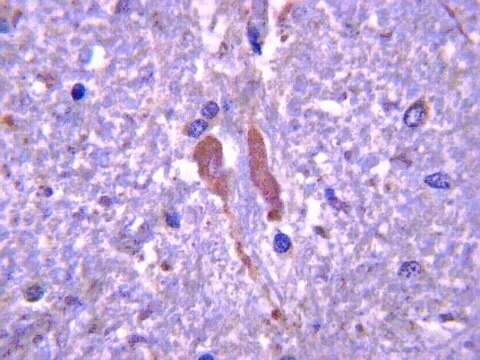
Human normal brain tissue
Human normal brain tissue
Evaluated by Immunohistochemistry in human normal brain tissue.
Immunohistochemistry Analysis: A 1:500 dilution of this antibody detected PINK1 in human normal brain tissue.
Immunohistochemistry Analysis: A 1:500 dilution of this antibody detected PINK1 in human normal brain tissue.
Other Notes
Concentration: Please refer to the Certificate of Analysis for the lot-specific concentration.
未找到合适的产品?
试试我们的产品选型工具.
存储类别
12 - Non Combustible Liquids
wgk
WGK 1
flash_point_f
Not applicable
flash_point_c
Not applicable
我们的科学家团队拥有各种研究领域经验,包括生命科学、材料科学、化学合成、色谱、分析及许多其他领域.
联系客户支持