跳转至内容
Merck
CN

MABN502

Anti-SNAT1 Antibody, clone N104/37

clone N104/37, from mouse

别名:

Sodium-coupled neutral amino acid transporter 1, Amino acid transporter A1, rATA1, Glutamine transporter, N-system amino acid transporter 2, Solute carrier family 38 member 1, System A amino acid transporter 1, System A transporter 2, System N amino acid

登录 查看组织和合同定价。

选择尺寸


关于此项目

UNSPSC Code:
12352203
NACRES:
NA.41
eCl@ss:
32160702
Conjugate:
unconjugated
Clone:
N104/37, monoclonal
Application:
IHC, WB
Citations:
2
技术服务
需要帮助?我们经验丰富的科学家团队随时乐意为您服务。
让我们为您提供帮助
技术服务
需要帮助?我们经验丰富的科学家团队随时乐意为您服务。
让我们为您提供帮助

biological source

mouse

conjugate

unconjugated

antibody form

purified antibody

antibody product type

primary antibodies

clone

N104/37, monoclonal

species reactivity

mouse, human, rat

technique(s)

immunohistochemistry: suitable, western blot: suitable

isotype

IgG1κ

NCBI accession no.

UniProt accession no.

shipped in

wet ice

target post-translational modification

unmodified

Gene Information

human ... SLC38A1(81539)

General description

Sodium-coupled neutral amino acid transporter 1 (SNAT) is also called, Amino acid transporter A1 (ATA1), Glutamine transporter (Glnt), N-system amino acid transporter 2, Solute carrier family 38 member 1 (SLC38A1), System A amino acid transporter 1 (SAT1), System A transporter 2 (SA2), and System N amino acid transporter 1. SNAT functions as a sodium-dependent amino acid transporter that may supply glutamatergic and GABAergic neurons with the glutamine required for the synthesis of the neurotransmitters glutamate and GABA. SNAT is specifically expressed in brain, with the highest levels in cerebellum and thalamus, in glutamatergic, GABAergic and dopaminergic neurons, ependymal cells lining the ventricle and is also detected in spinal cord, heart, colon and placenta.
~ 54 kDa observed

Immunogen

Epitope: N-terminus
Recombinant protein corresponding to the N-terminus of rat SNAT1.

Application

Detect Sodium-coupled neutral amino acid transporter 1 using this mouse monoclonal antibody, Anti-SNAT1 Antibody, clone N104/37 validated for use in western blotting & IHC.
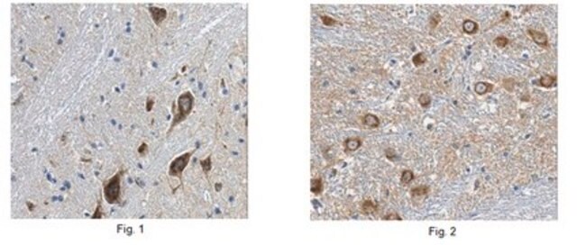
Immunohistochemistry Analysis: A 1:50 dilution from a representative lot detected SNAT1 in rat midbrain and human thalamus tissue.
Research Category
Neuroscience
Research Sub Category
Developmental Signaling

Biochem/physiol Actions

This antibody recognizes the N-terminus of SNAT1.

Physical form

Format: Purified
Protein G Purified
Purified mouse monoclonal IgG1κ in buffer containing 0.1 M Tris-Glycine (pH 7.4), 150 mM NaCl with 0.05% sodium azide.

Preparation Note

Stable for 1 year at 2-8°C from date of receipt.

Analysis Note

Control
Human brain tissue lysate
Evaluated by Western Blotting in human brain tissue lysate.

Western Blotting Analysis: 1.0 µg/mL of this antibody detected SNAT1 in 10 µg of human brain tissue lysate.

Other Notes

Concentration: Please refer to the Certificate of Analysis for the lot-specific concentration.

Disclaimer

Unless otherwise stated in our catalog or other company documentation accompanying the product(s), our products are intended for research use only and are not to be used for any other purpose, which includes but is not limited to, unauthorized commercial uses, in vitro diagnostic uses, ex vivo or in vivo therapeutic uses or any type of consumption or application to humans or animals.

未找到合适的产品?  

试试我们的产品选型工具.

存储类别

12 - Non Combustible Liquids

wgk

WGK 1

flash_point_f

Not applicable

flash_point_c

Not applicable


分析证书(COA)

输入产品批号来搜索 分析证书(COA) 。批号可以在产品标签上"批“ (Lot或Batch)字后找到。

已有该产品?

在文件库中查找您最近购买产品的文档。

访问文档库

Shanthie Thamotharan et al.
PloS one, 12(5), e0176493-e0176493 (2017-05-04)
Placental insufficiency leading to intrauterine growth restriction (IUGR) demonstrates perturbed gene expression affecting placental angiogenesis and nutrient transfer from mother to fetus. To understand the post-transcriptional mechanisms underlying such placental gene expression changes, our objective was to identify key non-coding
Karen J Gibbins et al.
Biology of reproduction, 98(5), 695-704 (2018-01-20)
Hypertensive disease of pregnancy (HDP) with placental insufficiency is the most common cause of fetal growth restriction (FGR) in the developed world. Despite the known negative consequences of HDP both to the mother and fetus, little is known about the

我们的科学家团队拥有各种研究领域经验,包括生命科学、材料科学、化学合成、色谱、分析及许多其他领域.

联系客户支持