跳转至内容
Merck
CN

MABT175

Anti-ADAMTS5 Antibody, clone 3A2.1

clone 3A2.1, from mouse

别名:

A disintegrin and metalloproteinase with thrombospondin motifs 5, ADAM-TS 5, ADAM-TS5, ADAMTS-5, EC 3.4.24.-, A disintegrin and metalloproteinase with thrombospondin motifs 11, ADAM-TS 11, ADAMTS-11, ADMP-2, Aggrecanase-2

登录 查看组织和合同定价。

选择尺寸


关于此项目

UNSPSC Code:
12352203
NACRES:
NA.41
eCl@ss:
32160702
技术服务
需要帮助?我们经验丰富的科学家团队随时乐意为您服务。
让我们为您提供帮助
技术服务
需要帮助?我们经验丰富的科学家团队随时乐意为您服务。
让我们为您提供帮助

biological source

mouse

antibody form

purified antibody

antibody product type

primary antibodies

clone

3A2.1, monoclonal

species reactivity

human

technique(s)

immunohistochemistry: suitable (paraffin)

isotype

IgG1κ

NCBI accession no.

UniProt accession no.

shipped in

wet ice

target post-translational modification

unmodified

Gene Information

human ... ADAMTS5(11096)

General description

101.7 kDa calculated
The ADAMTS (A Disintegrin and Metalloprotease with Thrombospondin motifs) family of secreted proteases comprises at least 20 members in mammals, and several members in invertebrates. ADAMTS members resemble the membrane-bound ADAM family of proteases in the presence of a prodomain, a catalytic domain and a disintegrin-like domain. However, ADAMTS members lack a transmembrane domain, and instead contain varying numbers of thrombospondin type I modules. ADAMTS-5, along with ADAMTS-4, cleaves aggrecan between Glu373 and Ala374, a physiological cleavage site in arthritic cartilage. In addition, expression of ADAMTS-5 is elevated in human chondrocytes treated with inflammatory cytokine interleukin-1, but is constitutively expressed in bovine cartilage explants. 70 and 53 kD forms of ADAMTS-5 have been shown to be present at varying ratios in fibroblast-like synoviocytes and extracts of rheumatoid arthritis, osteoarthritis and normal synovial tissue.

Immunogen

Epitope: C-terminus
GST-tagged recombinant protein corresponding to the C-terminus of human ADAMTS5.

Application

Detect ADAMTS5 using this Anti-ADAMTS5 Antibody, clone 3A2.1 validated for use in IHC (Paraffin).
Research Category
Cell Structure
Research Sub Category
Cytoskeletal Signaling

Physical form

Format: Purified
Protein G Purified
Purified mouse monoclonal IgG1κ in buffer containing 0.1 M Tris-Glycine (pH 7.4), 150 mM NaCl with 0.05% sodium azide.

Preparation Note

Stable for 1 year at 2-8°C from date of receipt.

Analysis Note

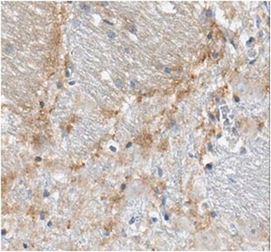
Evaluated by Immunohistochemistry in human thalamus tissue.

Imunnohistochemistry Analysis: A 1:50 dilution of this antibody detected ADAMTS5 in human thalamus tissue.

Other Notes

Concentration: Please refer to the Certificate of Analysis for the lot-specific concentration.

Disclaimer

Unless otherwise stated in our catalog or other company documentation accompanying the product(s), our products are intended for research use only and are not to be used for any other purpose, which includes but is not limited to, unauthorized commercial uses, in vitro diagnostic uses, ex vivo or in vivo therapeutic uses or any type of consumption or application to humans or animals.

未找到合适的产品?  

试试我们的产品选型工具.

存储类别

12 - Non Combustible Liquids

wgk

WGK 1

flash_point_f

Not applicable

flash_point_c

Not applicable


分析证书(COA)

输入产品批号来搜索 分析证书(COA) 。批号可以在产品标签上"批“ (Lot或Batch)字后找到。

已有该产品?

在文件库中查找您最近购买产品的文档。

访问文档库

我们的科学家团队拥有各种研究领域经验,包括生命科学、材料科学、化学合成、色谱、分析及许多其他领域.

联系客户支持