跳转至内容
Merck
CN

MABT321

Anti-Septin-9 Antibody, clone 1A6C2

clone 1A6C2, from rat

别名:

Septin-9, Eighth septin, Eseptin, Septin-like protein, SLP

登录 查看组织和合同定价。

选择尺寸

变更视图

关于此项目

UNSPSC Code:
12352203
NACRES:
NA.41
eCl@ss:
32160702
Conjugate:
unconjugated
Clone:
1A6C2, monoclonal
Application:
ICC, WB
Citations:
-
技术服务
需要帮助?我们经验丰富的科学家团队随时乐意为您服务。
让我们为您提供帮助

biological source

rat

Quality Level

conjugate

unconjugated

antibody form

purified immunoglobulin

antibody product type

primary antibodies

clone

1A6C2, monoclonal

species reactivity

mouse, human

technique(s)

immunocytochemistry: suitable, western blot: suitable

isotype

IgG2aκ

NCBI accession no.

UniProt accession no.

shipped in

wet ice

target post-translational modification

unmodified

Gene Information

human ... SEPTIN9(10801)

General description

Septin-9 (also known as eighth septin, Eseptin, and MLL septin-like fusion) is encoded by the Sept9 gene in rat and mouse (SEPT9 in human). Septins are GTP-binding proteins capable of forming higher-order oligomers and filamentous polymers that contact with the cell membrane and cytoskeleton. Septins are involved in various cellular processes, including cytokinesis, karyokinesis, exocytosis, and cell shape maintenance. The expression of SEPT2, SEPT6, SEPT7 and SEPT9 in heart tissue is reported to correlate well with cardiomyocyte cytokinesis activity during heart development, is highly expressed in embryonic heart, downregulated around birth, and nondetectable in the adult heart. (PMID 16739252 & 24837489). Clone 1A6C2 was generated using an immunogen sequence present only in rat spetin-9 isoform 1 (SLP-a; Q9QZR6), but missing in rat isoform 2-4 (SLP-b, E-septin long & short forms). The immunogen sequence is 100% conserved in murine species (A2A6U3) and differs by one amino acid when compared to the corresponding human sequence in isoform 2, and missing in human isoforms 1,3,4 (Q9UHD8).
~65 kDa observed. Uncharacterized band(s) may appear in some lysates.

Immunogen

Epitope: N-terminus
KLH-conjugated linear peptide corresponding to the N-terminus of rat Septin-9.

Application

Anti-Septin-9 Antibody, clone 1A6C2 is an antibody against Septin-9 for use in Western Blotting and Immunocytochemistry.
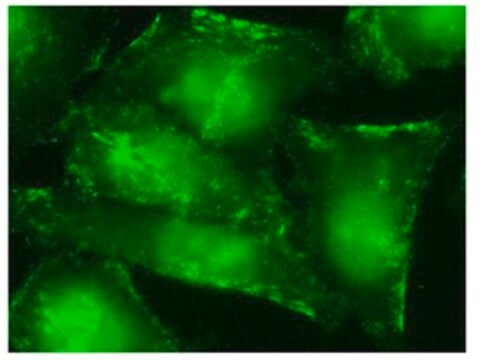
Immunocytochemistry Analysis: A 1:100 dilution from a representative lot detected Septin-9 in HeLa cells (Dr. Taro Tachibana, Cell Engineering Corporation).
Western Blotting Analysis: A 1:1,000 dilution from a representative lot detected Septin-9 in HeLa cell lysate (Dr. Taro Tachibana, Cell Engineering Corporation).
Research Category
Cell Structure
Research Sub Category
Adhesion (CAMs)

Physical form

Format: Purified
Protein G Purified
Purified rat monoclonal IgG2aκ in buffer containing 0.1 M Tris-Glycine (pH 7.4), 150 mM NaCl with 0.05% sodium azide.

Preparation Note

Stable for 1 year at 2-8°C from date of receipt.

Analysis Note

Evaluated by Western Blotting in NIH/3T3 cell lysate.

Western Blotting Analysis: 2.0 µg/mL of this antibody detected Septin-9 in 10 µg of NIH/3T3 cell lysate.

Other Notes

Concentration: Please refer to lot specific datasheet.

Disclaimer

Unless otherwise stated in our catalog or other company documentation accompanying the product(s), our products are intended for research use only and are not to be used for any other purpose, which includes but is not limited to, unauthorized commercial uses, in vitro diagnostic uses, ex vivo or in vivo therapeutic uses or any type of consumption or application to humans or animals.

未找到合适的产品?  

试试我们的产品选型工具.

存储类别

12 - Non Combustible Liquids

wgk

WGK 1

flash_point_f

Not applicable

flash_point_c

Not applicable


分析证书(COA)

输入产品批号来搜索 分析证书(COA) 。批号可以在产品标签上"批“ (Lot或Batch)字后找到。

已有该产品?

在文件库中查找您最近购买产品的文档。

访问文档库

全球贸易项目编号

货号GTIN
MABT32104055977161588

我们的科学家团队拥有各种研究领域经验,包括生命科学、材料科学、化学合成、色谱、分析及许多其他领域.

联系客户支持