form
liquid
transition temp
flash point 12 °C
λmax
527 nm (Eosin), 631 nm (Azure)
application(s)
diagnostic assay manufacturing
hematology
histology
shipped in
ambient
storage temp.
15-25°C
Quality Level
General description
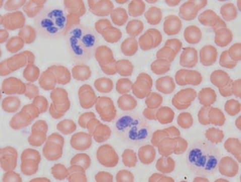
Giemsa stain is a mixture of polychromed methylene blue, azure, and eosin.
Application
Giemsa stain has been used for the staining of cells and blood films. It is a versatile differential stain that is widely used in hematology for blood and bone marrow specimens, clinical cytology specimens, bacteriology, histological biopsies, and tumor samples.
signalword
Danger
Hazard Classifications
Acute Tox. 3 Dermal - Acute Tox. 3 Inhalation - Acute Tox. 3 Oral - Flam. Liq. 2 - STOT SE 1
target_organs
Eyes,Central nervous system
存储类别
3 - Flammable liquids
wgk
WGK 2
flash_point_f
53.6 °F
flash_point_c
12 °C
法规信息
新产品
此项目有
我们的科学家团队拥有各种研究领域经验,包括生命科学、材料科学、化学合成、色谱、分析及许多其他领域.
联系客户支持

