biological source
rabbit
conjugate
unconjugated
antibody form
culture supernatant
antibody product type
primary antibodies
clone
SP21, monoclonal
description
For In Vitro Diagnostic Use in Select Regions (See Chart)
form
buffered aqueous solution
species reactivity
human
packaging
vial of 0.1 mL concentrate (240R-14), vial of 0.5 mL concentrate (240R-15), bottle of 1.0 mL predilute (240R-17), vial of 1.0 mL concentrate (240R-16), bottle of 7.0 mL predilute (240R-18)
manufacturer/tradename
Cell Marque®
technique(s)
immunohistochemistry (formalin-fixed, paraffin-embedded sections): 1:100-1:500
isotype
IgG
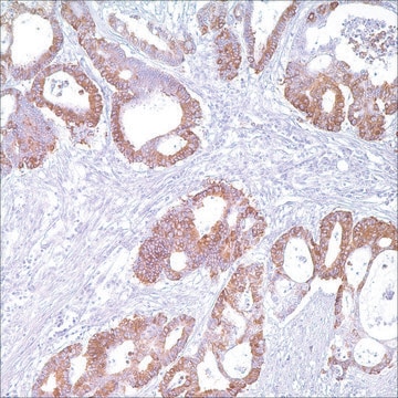
control
colon carcinoma
shipped in
wet ice
storage temp.
2-8°C
visualization
cytoplasmic
Gene Information
human ... PTGS2(5743)
General description
Cyclooxygenase 2 (COX-2) catalyzes the conversion of arachidonic acid to prostaglandin H2 in the first step in the biosynthesis of prostaglandins, thromboxanes, and prostacyclins. COX-2 inhibition by nonsteroidal anti-inflammatory agents has been shown to decrease angiogenesis and tumor growth, and promote apoptosis. COX-2 overexpression has been associated with increased microvascular density.
Physical form
Solution in Tris Buffer, pH 7.3-7.7, with 1% BSA and <0.1% Sodium Azide
Preparation Note
Download the IFU specific to your product lot and formatNote: This requires a keycode which can be found on your packaging or product label.
Analysis Note
![]() IVD | ![]() IVD | ![]() IVD | ![]() RUO |
Other Notes
COX-2 Positive Control Slides, Product No. 240S, are available for immunohistochemistry (formalin-fixed, paraffin-embedded sections).
For Technical Service please contact: 800-665-7284 or email: service@cellmarque.com
Legal Information
Cell Marque is a registered trademark of Merck KGaA, Darmstadt, Germany
Still not finding the right product?
试用我们的 产品选型工具 工具缩小选择范围
存储类别
12 - Non Combustible Liquids
wgk
WGK 2
flash_point_f
Not applicable
flash_point_c
Not applicable
法规信息
监管及禁止进口产品
此项目有
Oreste Gallo et al.
Human pathology, 33(7), 708-714 (2002-08-28)
Prostaglandins play a critical role in tumor development and growth by regulating numerous biologic processes, including tumor angiogenesis, with clear prognostic and therapeutic implications. The aim of this study was to investigate the prognostic relevance of cyclooxygenase-2 (COX-2) pathway activation
Jan Stoehlmacher et al.
Seminars in oncology, 30(3 Suppl 6), 10-16 (2003-06-13)
Cyclooxygenase (COX) enzyme-dependent arachidonic acid metabolites occupy key positions in important physiologic processes such as immunity, reproduction, and vascular integrity. Large retrospective and prospective population-based studies have shown that the use of both nonselective, nonsteroidal anti-inflammatory drugs and selective COX-2
H Sano et al.
Cancer research, 55(17), 3785-3789 (1995-09-01)
Several studies indicate that nonsteroidal anti-inflammatory drugs including indomethacin, aspirin, sulindac, and piroxicam reduce the risk of colon cancer. Furthermore, nonsteroidal anti-inflammatory drugs that inhibit the cyclooxygenase (COX) enzyme were shown to inhibit the development of colon cancer in animal
全球贸易项目编号
| 货号 | GTIN |
|---|---|
| 240R-17 | 0841683136002 |
| 240R-15 | 0841683135982 |
| 240R-14 | 0841683129585 |
| 240R-18 | 0841683136019 |
| 240R-16 | 0841683135999 |



