biological source
mouse
conjugate
unconjugated
antibody form
culture supernatant
antibody product type
primary antibodies
clone
HAM-56, monoclonal
description
For In Vitro Diagnostic Use in Select Regions (See Chart)
form
buffered aqueous solution
species reactivity
human
packaging
vial of 0.1 mL concentrate (279M-14), vial of 0.5 mL concentrate (279M-15), bottle of 1.0 mL predilute (279M-17), vial of 1.0 mL concentrate (279M-16), bottle of 7.0 mL predilute (279M-18)
manufacturer/tradename
Cell Marque®
technique(s)
immunohistochemistry (formalin-fixed, paraffin-embedded sections): 1:25-1:100
isotype
IgMκ
control
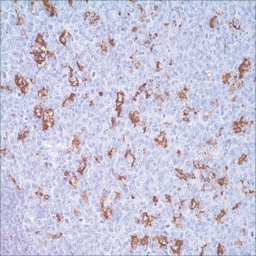
tonsil
shipped in
wet ice
storage temp.
2-8°C
visualization
cytoplasmic
General description
Anti-HAM-56 reacts with tingible macrophages, interdigitating macrophages of lymph nodes and tissue macrophages, e.g. Kupffer cells of the liver and alveolar macrophages of the lung. The antibody also stains a subpopulation of endothelial cells, most prominently those of the capillaries and smaller blood vessels. Anti-HAM-56 antibody reacts with monocytes, but is unreactive with B and T-lymphocytes.
Physical form
Solution in Tris Buffer, pH 7.3-7.7, with 1% BSA and <0.1% Sodium Azide
Preparation Note
Download the IFU specific to your product lot and formatNote: This requires a keycode which can be found on your packaging or product label.
Analysis Note
![]() IVD | ![]() IVD | ![]() IVD | ![]() RUO |
Other Notes
For Technical Service please contact: 800-665-7284 or email: service@cellmarque.com
Macrophage Positive Control Slides, Product No. 279S, are available for immunohistochemistry (formalin-fixed, paraffin-embedded sections).
Legal Information
Cell Marque is a registered trademark of Merck KGaA, Darmstadt, Germany
未找到合适的产品?
试试我们的产品选型工具.
存储类别
12 - Non Combustible Liquids
wgk
WGK 2
flash_point_f
Not applicable
flash_point_c
Not applicable
法规信息
监管及禁止进口产品
此项目有
C Bosman et al.
Journal of pediatric hematology/oncology, 21(1), 31-37 (1999-02-25)
The phenotype of the proliferating cells in two patients with erythrophagocytic histiocytosis is described. These 6- and 18-month-old female patients presented with fever, anemia, hepatosplenomegaly, and lymphadenopathy. Clinical histories were reviewed, and pathological specimens of both patients were studied by
C E Alpers et al.
American journal of clinical pathology, 92(5), 662-665 (1989-11-01)
The histogenesis of the multinucleated cells that characterize myeloma cast nephropathy ("myeloma kidney") has long been a subject of debate. Recent studies have implicated monocyte/macrophage-derived cells rather than tubular epithelial cells as the progenitors of these multinucleated cells. In this
Y Soini et al.
Pathology, research and practice, 186(6), 759-767 (1990-12-01)
Nine cases of malignant fibrous histiocytomas (MFH) were examined immunohistochemically in frozen sections with six different monoclonal antibodies to histiomonocytic and related cells (EBM11, HAM-56, KB90, antibodies to dendritic reticulum cells, HLADR and LCA). Ten other soft tissue sarcomas, two
A M Gown et al.
The American journal of pathology, 125(1), 191-207 (1986-10-01)
The authors have performed immunocytochemical investigations of the distribution of various cell types in human atherosclerotic plaques using monoclonal antibodies specific to smooth muscle cells (CGA7 [Gown et al, J Cell Biol 1985, 100:807-813] and HHF35 [Tsukada et al, Am
我们的科学家团队拥有各种研究领域经验,包括生命科学、材料科学、化学合成、色谱、分析及许多其他领域.
联系客户支持


