biological source
rabbit
conjugate
unconjugated
antibody form
culture supernatant
antibody product type
primary antibodies
clone
EP251, monoclonal
description
For In Vitro Diagnostic Use in Select Regions
form
buffered aqueous solution
species reactivity
human
packaging
vial of 0.1 mL concentrate (333R-14), vial of 0.1 mL concentrate Research Use Only (333R-14-RUO), vial of 0.5 mL concentrate (333R-15), vial of 1.0 mL concentrate (333R-16), vial of 1.0 mL concentrate Research Use Only (333R-16-RUO), vial of 1.0 mL pre-dilute Research Use Only (333R-17-RUO), vial of 1.0 mL pre-dilute ready-to-use (333R-17), vial of 7.0 mL pre-dilute ready-to-use (333R-18), vial of 7.0 mL pre-dilute ready-to-use Research Use Only (333R-18-RUO)
manufacturer/tradename
Cell Marque®
technique(s)
immunohistochemistry (formalin-fixed, paraffin-embedded sections): 1:25-1:100 (concentrated)
isotype
IgG
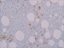
control
bone marrow
shipped in
wet ice
storage temp.
2-8°C
visualization
membranous
Gene Information
human ... SPTA1(6708)
General description
Physical form
Preparation Note
Note: This requires a keycode which can be found on your packaging or product label.
Download the latest released IFU
Note: This IFU may not apply to your specific product lot.
Analysis Note
![]() IVD | ![]() IVD | ![]() IVD | ![]() RUO |
Other Notes
Legal Information
未找到合适的产品?
试试我们的产品选型工具.
存储类别
12 - Non Combustible Liquids
wgk
WGK 2
flash_point_f
Not applicable
flash_point_c
Not applicable
法规信息
我们的科学家团队拥有各种研究领域经验,包括生命科学、材料科学、化学合成、色谱、分析及许多其他领域.
联系客户支持


