biological source
rabbit
conjugate
unconjugated
antibody form
culture supernatant
antibody product type
primary antibodies
clone
EP159, monoclonal
description
For In Vitro Diagnostic Use in Select Regions (See Chart)
form
buffered aqueous solution
species reactivity
human
packaging
vial of 0.1 mL concentrate (409R-14), vial of 0.5 mL concentrate (409R-15), bottle of 1.0 mL predilute (409R-17), vial of 1.0 mL concentrate (409R-16), bottle of 7.0 mL predilute (409R-18)
manufacturer/tradename
Cell Marque®
technique(s)
immunohistochemistry (formalin-fixed, paraffin-embedded sections): 1:25-1:100
isotype
IgG
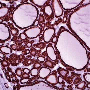
control
papillary thyroid carcinoma, thyroid
shipped in
wet ice
storage temp.
2-8°C
visualization
cytoplasmic
Gene Information
human ... TPO(7173)
General description
Difficulties in the diagnosis of thyroid lesions, even with histologic analysis, are well recognized. Diagnostic discrepancies in follicular thyroid carcinoma and papillary carcinoma have been considered to be a challenge among pathologists for a long time. These diagnostic challenges have inspired clinical research interests in novel methods of correctly identifying thyroid lesions. Thyroid peroxidase (TPO) is a thyroid-specific enzyme involved in the synthesis of thyroid hormone. TPO can be detected in formalin-fixed, paraffin-embedded tissues of normal thyroid, thyroid carcinoma of papillary and follicular type. Depending on different series of studies, the sensitivity of TPO for carcinoma of the thyroid has been reported between 44% and 100%, while specificity ranges between 68% and 100%. Studies indicate that anti-thyroid peroxidase, anti-HBME-1, anti-galectin-3, and anti-CK19, together may form a useful immunohistochemical panel for identification of thyroid carcinoma of papillary and follicular types.
Physical form
Solution in Tris Buffer, pH 7.3-7.7, with 1% BSA and <0.1% Sodium Azide
Preparation Note
Download the IFU specific to your product lot and formatNote: This requires a keycode which can be found on your packaging or product label.
Analysis Note
![]() IVD | ![]() IVD | ![]() IVD | ![]() RUO |
Other Notes
For Technical Service please contact: 800-665-7284 or email: service@cellmarque.com
Thyroid Peroxidase Positive Control Slides, Product No. 409S, are available for immunohistochemistry (formalin-fixed, paraffin-embedded sections).
Legal Information
Cell Marque is a registered trademark of Merck KGaA, Darmstadt, Germany
未找到合适的产品?
试试我们的产品选型工具.
存储类别
12 - Non Combustible Liquids
wgk
WGK 2
flash_point_f
Not applicable
flash_point_c
Not applicable
法规信息
监管及禁止进口产品
此项目有
U Yousaf et al.
Clinical endocrinology, 68(6), 996-1001 (2007-11-23)
Cold thyroid nodules are common, in particular in iodine-deficient areas, but only a minority of them are malignant requiring surgery. Thyroid peroxidase (TPO) immunostaining of fine-needle aspiration cytology (FNAC) material has proven helpful in diagnosing cells from malignant lesions, but
Katie B Weber et al.
American journal of clinical pathology, 122(4), 524-531 (2004-10-19)
In this retrospective histologic study, galectin-3 had a sensitivity of 92% (22/24) for papillary thyroid carcinoma and 44% (4/9) for follicular thyroid carcinoma. Thyroid peroxidase (TPO) had a sensitivity of 50% (12/24) for papillary and 11% (1/11) for follicular carcinoma.
Ivan Paunovic et al.
APMIS : acta pathologica, microbiologica, et immunologica Scandinavica, 120(5), 368-379 (2012-04-21)
We evaluated some proposed molecular thyroid tumor markers: thyroid peroxidase (TPO), galectin-3, cytokeratin-19, and HBME-1, individually and in combination, by immunohistochemistry in a total of 242 archival thyroid tissue sections. The expression of each individual marker was most helpful for
Brigitte Franc et al.
Human pathology, 34(11), 1092-1100 (2003-12-04)
We evaluated the interobserver and intraobserver reproducibility in the histopathology of follicular thyroid carcinoma (FTC). Forty-one anonymous FTC pathology slides were independently reviewed by 5 pathologists, and 31 of them were also evaluated twice by the same pathologist. A final
Svetlana Savin et al.
Human pathology, 39(11), 1656-1663 (2008-07-29)
Thyroperoxidase and galectin-3 have been reported as useful immunohistochemical markers of thyroid malignancy. In this study, we evaluated the relationship between immunohistochemical staining results for these markers and clinicopathologic features of patients with differentiated thyroid cancer. A total of 193
我们的科学家团队拥有各种研究领域经验,包括生命科学、材料科学、化学合成、色谱、分析及许多其他领域.
联系客户支持


