Quality Level
biological source
rabbit
conjugate
unconjugated
antibody form
affinity isolated antibody
antibody product type
primary antibodies
clone
polyclonal
product line
Prestige Antibodies® Powered by Atlas Antibodies
form
buffered aqueous glycerol solution
species reactivity
human
enhanced validation
independent
orthogonal RNAseq
Learn more about Antibody Enhanced Validation
technique(s)
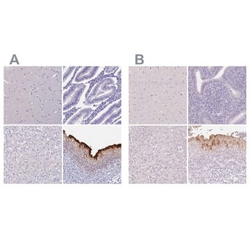
immunohistochemistry: 1:200-1:500
immunogen sequence
ISSLSGLLSPALTESLLVALPPCHLTGGNATLMVRRANDSKVVTSSFVVPPCRGRRELVS
UniProt accession no.
shipped in
wet ice
storage temp.
−20°C
target post-translational modification
unmodified
Gene Information
human ... UPK2(7379)
正在寻找类似产品? 访问 产品对比指南
General description
UPK2 (uroplakin II), a 15 kDa protein, is a constituent of the urothelial plaques. It is also termed as UPII. UPK2 gene codes for the single spanning transmembrane uroplakins UPK2a. This gene is located on human chromosome 11q23.3.
Immunogen
uroplakin 2
Application
All Prestige Antibodies Powered by Atlas Antibodies are developed and validated by the Human Protein Atlas (HPA) project and as a result, are supported by the most extensive characterization in the industry.
The Human Protein Atlas project can be subdivided into three efforts: Human Tissue Atlas, Cancer Atlas, and Human Cell Atlas. The antibodies that have been generated in support of the Tissue and Cancer Atlas projects have been tested by immunohistochemistry against hundreds of normal and disease tissues and through the recent efforts of the Human Cell Atlas project, many have been characterized by immunofluorescence to map the human proteome not only at the tissue level but now at the subcellular level. These images and the collection of this vast data set can be viewed on the Human Protein Atlas (HPA) site by clicking on the Image Gallery link. We also provide Prestige Antibodies® protocols and other useful information.
The Human Protein Atlas project can be subdivided into three efforts: Human Tissue Atlas, Cancer Atlas, and Human Cell Atlas. The antibodies that have been generated in support of the Tissue and Cancer Atlas projects have been tested by immunohistochemistry against hundreds of normal and disease tissues and through the recent efforts of the Human Cell Atlas project, many have been characterized by immunofluorescence to map the human proteome not only at the tissue level but now at the subcellular level. These images and the collection of this vast data set can be viewed on the Human Protein Atlas (HPA) site by clicking on the Image Gallery link. We also provide Prestige Antibodies® protocols and other useful information.
Biochem/physiol Actions
Uroplakin II (UPII) is considered as a sensitive marker for urothelial carcinoma (UC). It increases the permeability barrier and strength of the urothelium.
Features and Benefits
Prestige Antibodies® are highly characterized and extensively validated antibodies with the added benefit of all available characterization data for each target being accessible via the Human Protein Atlas portal linked just below the product name at the top of this page. The uniqueness and low cross-reactivity of the Prestige Antibodies® to other proteins are due to a thorough selection of antigen regions, affinity purification, and stringent selection. Prestige antigen controls are available for every corresponding Prestige Antibody and can be found in the linkage section.
Every Prestige Antibody is tested in the following ways:
Every Prestige Antibody is tested in the following ways:
- IHC tissue array of 44 normal human tissues and 20 of the most common cancer type tissues.
- Protein array of 364 human recombinant protein fragments.
Physical form
Solution in phosphate buffered saline, pH 7.2, containing 40% glycerol and 0.02% sodium azide.
Other Notes
Corresponding Antigen APREST81868
Legal Information
Prestige Antibodies is a registered trademark of Merck KGaA, Darmstadt, Germany
Disclaimer
Unless otherwise stated in our catalog or other company documentation accompanying the product(s), our products are intended for research use only and are not to be used for any other purpose, which includes but is not limited to, unauthorized commercial uses, in vitro diagnostic uses, ex vivo or in vivo therapeutic uses or any type of consumption or application to humans or animals.
未找到合适的产品?
试试我们的产品选型工具.
存储类别
10 - Combustible liquids
wgk
WGK 1
flash_point_f
Not applicable
flash_point_c
Not applicable
法规信息
低风险生物材料
常规特殊物品
此项目有
Utility of uroplakin II expression as a marker of urothelial carcinoma.
Tian W, et al.
Human Pathology, 46(1), 58-64 (2015)
A newly developed uroplakin II antibody with increased sensitivity in urothelial carcinoma of the bladder.
Hoang LL, et al.
Archives of Pathology & Laboratory Medicine, 138(7), 943-949 (2014)
Older patients with normal karyotype acute myeloid leukemia have a higher rate of genomic changes compared to young patients as determined by SNP array analysis.
Koren-Michowitz M, et al.
Leukemia Research, 36(4), 467-473 (2012)
The tetraspanin-associated uroplakins family (UPK2/3) is evolutionarily related to PTPRQ, a Phosphotyrosine Phosphatase Receptor.
Chicote JU, et al.
PLoS ONE, 12(1), e0170196-e0170196 (2017)
Ingrid Garzón et al.
Polymers, 13(10) (2021-06-03)
Several models of bioartificial human urothelial mucosa (UM) have been described recently. In this study, we generated novel tubularized UM substitutes using alternative sources of cells. Nanostructured fibrin-agarose biomaterials containing fibroblasts isolated from the human ureter were used as stroma
我们的科学家团队拥有各种研究领域经验,包括生命科学、材料科学、化学合成、色谱、分析及许多其他领域.
联系客户支持