跳转至内容
Merck
CN

ZRB2856

Anti-Prohibitin 1 Antibody, clone 1N19 ZooMAb® Rabbit Monoclonal

greener alternative

recombinant, expressed in HEK 293 cells

别名:

PHB, Prohibitin

登录 查看组织和合同定价。

选择尺寸


关于此项目

UNSPSC Code:
12352203
NACRES:
NA.41
Conjugate:
unconjugated
Clone:
1N19, recombinant monoclonal
Application:
ICC, IHC, WB
Citations:
-
技术服务
需要帮助?我们经验丰富的科学家团队随时乐意为您服务。
让我们为您提供帮助
技术服务
需要帮助?我们经验丰富的科学家团队随时乐意为您服务。
让我们为您提供帮助

biological source

rabbit

recombinant

expressed in HEK 293 cells

conjugate

unconjugated

antibody form

purified antibody

antibody product type

primary antibodies

clone

1N19, recombinant monoclonal

description

recombinant, expressed in HEK 293 cells

product line

ZooMAb® learn more

form

lyophilized

mol wt

calculated mol wt 29.80 kDa, observed mol wt ~32 kDa

purified by

using Protein A

species reactivity

mouse, human, rat

species reactivity (predicted by homology)

chicken, bovine

packaging

antibody small pack of 25

greener alternative product characteristics

Waste Prevention
Designing Safer Chemicals
Design for Energy Efficiency
Learn more about the Principles of Green Chemistry.

enhanced validation

recombinant expression
Learn more about Antibody Enhanced Validation

sustainability

Greener Alternative Product

technique(s)

immunocytochemistry: suitable, immunohistochemistry: suitable, western blot: suitable

isotype

IgGκ

epitope sequence

C-terminal

Protein ID accession no.

UniProt accession no.

greener alternative category

shipped in

ambient

storage temp.

2-8°C

Quality Level

Gene Information

human ... PHB1(5245)

General description

Prohibitin 1 (UniProt: P35232; also known as Prohibitin) is encoded by the PHB1 (also known as PHB) gene (Gene ID: 5245) in human. PHB gene encodes an antiproliferative protein that controls several cellular control activities such as cell proliferation, cristae morphogenesis and the functional integrity of mitochondria. PHB1 is predominantly localized in the inner membrane of mitochondria, and together with PHB2 forms large ring complexes (prohibitin complexes) and functions as a chaperone protein that stabilizes mitochondrial respiratory enzymes and maintains mitochondrial integrity in the IMM, which is required for mitochondrial morphogenesis, neuronal survival, and normal lifespan. PHB1 has also been observed in the nucleus, cytoplasm and plasma membrane. The presence of PHB1 in the nucleus and at the cell surface suggests additional roles in nuclear signaling and cell surface receptor-mediated signaling. The expression of PHB1 is widespread, being found in a variety of tissues and cell types. It is ubiquitously expressed in both adult and embryonic tissues, suggesting its fundamental role in cellular processes. Prohibitin is an inhibitor of DNA synthesis and is a potential tumor suppressor gene. It associates with Rb family proteins and suppresses their binding to E2F transcription factors, thus inhibiting E2F-mediated transcription and cell proliferation. Overexpression of PHB1 has been observed in various cancers, where it may contribute to the regulation of apoptosis and cell proliferation, affecting tumor growth and progression. Expression levels of prohibitin in fibroblasts have been found to decrease heterogeneously as cellular aging occurs. This ZooMAb® recombinant monoclonal antibody, generated by our proprietary technology, offers significantly enhanced specificity, affinity, reproducibility, and stability over conventional monoclonals.
We are committed to bringing you greener alternative products, which adhere to one or more of the 12 Principles of Green Chemistry. This antibody is preservative-free, produced without the harm or sacrifice of animals and exceptionally stable to allow for ambient shipping and storage if needed, and thus aligns with "Waste Prevention", "Designing Safer Chemicals" and "Design for Energy Efficiency". Click here for more information.
ZooMAb® antibodies represent an entirely new generation of recombinant monoclonal antibodies. Each ZooMAb® antibody is manufactured using our proprietary recombinant expression system, purified to homogeneity, and precisely dispensed to produce robust and highly reproducible lot-to-lot consistency. Only top-performing clones are released for use by researchers. Each antibody is validated for high specificity and affinity across multiple applications, including its most commonly used application. ZooMAb® antibodies are reliably available and ready to ship when you need them.

Immunogen

KLH-conjugated linear peptide corresponding to 25 amino acids from the C-terminal region of human Prohibitin 1.

Application

Quality Control Testing

Evaluated by Western Blotting in Caco-2 cell lysate.

Western Blotting Analysis: A 1:10,000 dilution of this antibody detected Prohibitin 1 protein in Caco-2 cell lysate.

Tested Applications

Western Blotting Analysis: A 1:10,000 dilution from a representative lot detected Prohibitin 1 in lysates from PC-12 cells, human liver tissue, and mouse heart tissue.

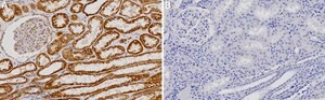
Immunohistochemistry (Paraffin) Analysis: A 1:1,000 dilution from a representative lot detected Prohibitin 1 in human kidney tissue sections.

Immunocytochemistry Analysis: A 1:100 dilution from a representative lot detected Prohibitin 1 in HepG2 cells.

Note: Actual optimal working dilutions must be determined by end user as specimens, and experimental conditions may vary with the end user

Biochem/physiol Actions

Clone 1N19 is a ZooMAb® recombinant rabbit monoclonal antibody that specifically detects Prohibitin 1. It targets an epitope within 25 amino acids from the C-terminal region of the protein.

Physical form

Purified recombinant rabbit monoclonal antibody IgG, lyophilized in PBS with 5% Trehalose, normal appearance a coarse or translucent resin. The PBS/trehalose components in the ZooMAb formulation can have the appearance of a semi-solid (bead like gel) after lyophilization. This is a normal phenomenon. Please follow the recommended reconstitution procedure in the data sheet to dissolve the semi-solid, bead-like, gel-appearing material. The resulting antibody solution is completely stable and functional as proven by full functional testing. Contains no biocide or preservatives, such as azide, or any animal by-products. Larger pack sizes provided as multiples of 25 µL.

Preparation Note

Recommend storage of lyophilized product at 2-8°C; Before reconstitution, micro-centrifuge vials briefly to spin down material to bottom of the vial; Reconstitute each vial by adding 25 µL of filtered lab grade water or PBS; Reconstituted antibodies can be stored at 2-8°C, or -20°C for long term storage. Avoid repeated freeze-thaws.
Reconstitute lyophilized antibody pellet with 25μL of ultrapure water or Phosphate Buffered Saline (PBS). Please refer to our reconstitution protocol and the specific application guidance on the suggested starting dilutions and sample type.

Legal Information

ZooMAb is a registered trademark of Merck KGaA, Darmstadt, Germany

Disclaimer

Unless otherwise stated in our catalog or other company documentation accompanying the product(s), our products are intended for research use only and are not to be used for any other purpose, which includes but is not limited to, unauthorized commercial uses, in vitro diagnostic uses, ex vivo or in vivo therapeutic uses or any type of consumption or application to humans or animals.

未找到合适的产品?  

试试我们的产品选型工具.

存储类别

11 - Combustible Solids

wgk

WGK 2

flash_point_f

Not applicable

flash_point_c

Not applicable

法规信息

常规特殊物品
此项目有

历史批次信息供参考:

分析证书(COA)

Lot/Batch Number

没有发现合适的版本?

如果您需要特殊版本,可通过批号或批次号查找具体证书。

已有该产品?

在文件库中查找您最近购买产品的文档。

访问文档库

我们的科学家团队拥有各种研究领域经验,包括生命科学、材料科学、化学合成、色谱、分析及许多其他领域.

联系客户支持