biological source
mouse
Quality Level
conjugate
unconjugated
antibody form
purified antibody (Protein A)
antibody product type
primary antibodies
clone
CL15059, monoclonal
product line
Prestige Antibodies® Powered by Atlas Antibodies
species reactivity
human
enhanced validation
orthogonal RNAseq
Learn more about Antibody Enhanced Validation
concentration
1 mg/mL
technique(s)
immunohistochemistry: 1:5000 - 1:10000, western blot: 1 μg/mL
pH range
7.2-7.4
isotype
IgG1
Ensembl | human accession no.
Protein ID accession no.
UniProt accession no.
shipped in
dry ice
storage temp.
-10 to -25°C
target post-translational modification
unmodified
Gene Information
human ... CALB1(793)
General description
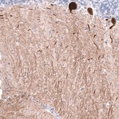
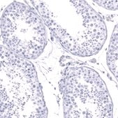
The Human Protein Atlas project can be subdivided into three efforts: Human Tissue Atlas, Cancer Atlas, and Human Cell Atlas. The antibodies that have been generated in support of the Tissue and Cancer Atlas projects have been tested by immunohistochemistry against hundreds of normal and disease tissues and through the recent efforts of the Human Cell Atlas project, many have been characterized by immunofluorescence to map the human proteome not only at the tissue level but now at the subcellular level. These images and the collection of this vast data set can be viewed on the Human Protein Atlas (HPA) site by clicking on the Image Gallery link. We also provide Prestige Antibodies® protocols and other useful information.
Immunogen
Recombinant Protein Epitope Signature Tag (PrEST) antigen sequence
Application
All Prestige Antibodies Powered by Atlas Antibodies aredeveloped and validated bythe[https://https://www.proteinatlas.org]HumanProteinAtlas (HPA) project and as a result, are supported by the most extensivecharacterization in the industry.
The Human Protein Atlas project can be subdivided into threeefforts: Human Tissue Atlas, Cancer Atlas, and Human Cell Atlas. The antibodiesthat have been generated in support of the Tissue and Cancer Atlas projectshave been tested by immunohistochemistry against hundreds of normal and diseasetissues and through the recent efforts of the Human Cell Atlas project, manyhave been characterized by immunofluorescence to map the human proteome notonly at thetissue level but now at the subcellular level. These images and thecollection of this vast data set can be viewed on the Human Protein Atlas (HPA)site by clicking on the Image Gallery link. We also provide PrestigeAntibodies®[/products/protein-biology/antibodies/prestige-antibodies]protocolsand other useful information.
The Human Protein Atlas project can be subdivided into threeefforts: Human Tissue Atlas, Cancer Atlas, and Human Cell Atlas. The antibodiesthat have been generated in support of the Tissue and Cancer Atlas projectshave been tested by immunohistochemistry against hundreds of normal and diseasetissues and through the recent efforts of the Human Cell Atlas project, manyhave been characterized by immunofluorescence to map the human proteome notonly at thetissue level but now at the subcellular level. These images and thecollection of this vast data set can be viewed on the Human Protein Atlas (HPA)site by clicking on the Image Gallery link. We also provide PrestigeAntibodies®[/products/protein-biology/antibodies/prestige-antibodies]protocolsand other useful information.
Features and Benefits
Prestige Antibodies® are highly characterized and extensively validated antibodies with the added benefit of all available characterization data for each target being accessible via the Human Protein Atlas portal linked just below the product name at the top of this page. The uniqueness and low cross-reactivity of the Prestige Antibodies® to other proteins are due to a thorough selection of antigen regions, affinity purification, and stringent selection. Prestige antigen controls are available for every corresponding Prestige Antibody and can be found in the linkage section.
Every Prestige Antibody is tested in the following ways:
Every Prestige Antibody is tested in the following ways:
- IHC tissue array of 44 normal human tissues and 20 of the most common cancer type tissues.
- Protein array of 364 human recombinant protein fragments.
Physical form
100UL pack size is provided in a solution, in PBS(phosphate-buffered saline), pH 7.2, containing 40% glycerol and 0.02% sodium azide.
Large pack size of 1ml (at 1mg/ml) is available in PBS only, purified, biocide free, carrier free and glycerol free. Order here
Large pack size of 1ml (at 1mg/ml) is available in PBS only, purified, biocide free, carrier free and glycerol free. Order here
Preparation Note
Upon arrival, mix gently and aliquot to avoid repeated freeze-thaw cycles
Legal Information
Prestige Antibodies is a registered trademark of Merck KGaA, Darmstadt, Germany
存储类别
10 - Combustible liquids
法规信息
新产品
此项目有
全球贸易项目编号
| 货号 | GTIN |
|---|---|
| AMAB92005-100UL | 04065273201130 |