跳转至内容
Merck
CN

AV46474

Anti-RARRES3 antibody produced in rabbit

IgG fraction of antiserum

别名:

Anti-HRASLS4, Anti-MGC8906, Anti-RIG1, Anti-Retinoic acid receptor responder (tazarotene induced) 3, Anti-TIG3

登录 查看组织和合同定价。

选择尺寸

变更视图

关于此项目

NACRES:
NA.41
UNSPSC Code:
12352203
Conjugate:
unconjugated
Clone:
polyclonal
Application:
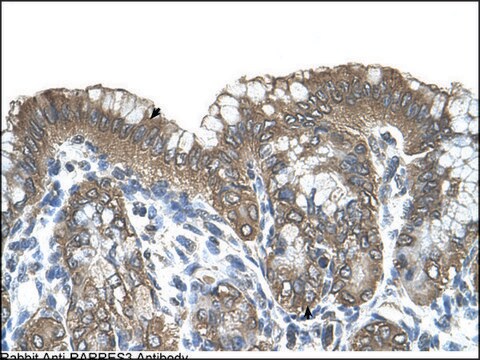
IHC, WB
Citations:
-
技术服务
需要帮助?我们经验丰富的科学家团队随时乐意为您服务。
让我们为您提供帮助

biological source

rabbit

conjugate

unconjugated

antibody form

IgG fraction of antiserum

antibody product type

primary antibodies

clone

polyclonal

form

buffered aqueous solution

mol wt

18 kDa

species reactivity

human

concentration

0.5 mg - 1 mg/mL

technique(s)

immunohistochemistry: suitable, western blot: suitable

NCBI accession no.

UniProt accession no.

shipped in

wet ice

storage temp.

−20°C

Gene Information

human ... RARRES3(5920)

General description

Retinoic acid receptor responder (tazarotene induced) 3 (RARRES3, HRASLS4), a member of the steroid and thyroid hormone receptor superfamily of transcription factors, is induced by the synthetic retinoid tazarotene. RARRES3/TIG3 of the lecithin retinol acyltransferase (LRAT) protein family is a member of the HREV107 family of class II tumor suppressors which are down-regulated in various cancer cells. RARRES3/TIG3 is involved in phospholipids metabolism.

Immunogen

Synthetic peptide directed towards the middle region of human RARRES3

Application

Anti-RARRES3 polyclonal antibody is used to tag retinoic acid receptor responder (tazarotene induced) 3 for detection and quantitation by Western blotting and in plasma by immunohistochemical (IHC) techniques. It is used as a probe to determine the roles protein retinoic acid receptor responder (tazarotene induced) 3 in phospholipid metabolism and tumor suppression.

Biochem/physiol Actions

Anti-RARRES3 polyclonal antibody reacts with human retinoic acid receptor responder (tazarotene induced) 3.
Retinoids exert biologic effects such as potent growth inhibitory and cell differentiation activities and are used in the treatment of hyperproliferative dermatological diseases. These effects are mediated by specific nuclear receptor proteins that are members of the steroid and thyroid hormone receptor superfamily of transcriptional regulators. RARRES3 is thought act as a tumor suppressor or growth regulator.Retinoids exert biologic effects such as potent growth inhibitory and cell differentiation activities and are used in the treatment of hyperproliferative dermatological diseases. These effects are mediated by specific nuclear receptor proteins that are members of the steroid and thyroid hormone receptor superfamily of transcriptional regulators. RARRES1, RARRES2, and RARRES3 are genes whose expression is upregulated by the synthetic retinoid tazarotene. RARRES3 is thought act as a tumor suppressor or growth regulator.

Physical form

Purified antibody supplied in 1x PBS buffer with 0.09% (w/v) sodium azide and 2% sucrose.

Other Notes

Synthetic peptide located within the following region: FSVLSNSAEVKRERLEDVVGGCCYRVNNSLDHEYQPRPVEVIISSAKEMV

Disclaimer

Unless otherwise stated in our catalog or other company documentation accompanying the product(s), our products are intended for research use only and are not to be used for any other purpose, which includes but is not limited to, unauthorized commercial uses, in vitro diagnostic uses, ex vivo or in vivo therapeutic uses or any type of consumption or application to humans or animals.

未找到合适的产品?  

试试我们的产品选型工具.

wgk

WGK 3

存储类别

10 - Combustible liquids

flash_point_f

Not applicable

flash_point_c

Not applicable

法规信息

新产品

此项目有


历史批次信息供参考:

分析证书(COA)

Lot/Batch Number

没有发现合适的版本?

如果您需要特殊版本,可通过批号或批次号查找具体证书。

已有该产品?

在文件库中查找您最近购买产品的文档。

访问文档库

全球贸易项目编号

货号GTIN
AV46474-100UL04061836215200

我们的科学家团队拥有各种研究领域经验,包括生命科学、材料科学、化学合成、色谱、分析及许多其他领域.

联系客户支持