biological source
rabbit
conjugate
unconjugated
antibody form
affinity isolated antibody
antibody product type
primary antibodies
clone
polyclonal
product line
Prestige Antibodies® Powered by Atlas Antibodies
form
buffered aqueous glycerol solution
species reactivity
mouse, human
enhanced validation
orthogonal RNAseq
Learn more about Antibody Enhanced Validation
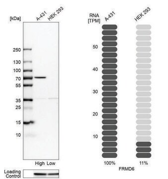
technique(s)
immunoblotting: 0.4 μg/mL, immunofluorescence: 1-4 μg/mL, immunohistochemistry: 1:500- 1:1000
immunogen sequence
LEEDLQDDEIEMLVDDPRDLEQMNEESLEVSPDMCIYITEDMLMSRKLNGHSGLIVKEIGSSTSSSSETVVKLRGQSTDSLPQTICRKPKTSTDRHSLSLDDIRLYQKDFLRIAGLCQDTAQSYTFGCGHELDEE
UniProt accession no.
shipped in
wet ice
storage temp.
−20°C
Gene Information
human ... FRMD6(122786)
Immunogen
FERM domain-containing protein 6 recombinant protein epitope signature tag (PrEST)
Application
All Prestige Antibodies Powered by Atlas Antibodies are developed and validated by the Human Protein Atlas (HPA) project and as a result, are supported by the most extensive characterization in the industry.
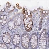
The Human Protein Atlas project can be subdivided into three efforts: Human Tissue Atlas, Cancer Atlas, and Human Cell Atlas. The antibodies that have been generated in support of the Tissue and Cancer Atlas projects have been tested by immunohistochemistry against hundreds of normal and disease tissues and through the recent efforts of the Human Cell Atlas project, many have been characterized by immunofluorescence to map the human proteome not only at the tissue level but now at the subcellular level. These images and the collection of this vast data set can be viewed on the Human Protein Atlas (HPA) site by clicking on the Image Gallery link. We also provide Prestige Antibodies® protocols and other useful information.
The Human Protein Atlas project can be subdivided into three efforts: Human Tissue Atlas, Cancer Atlas, and Human Cell Atlas. The antibodies that have been generated in support of the Tissue and Cancer Atlas projects have been tested by immunohistochemistry against hundreds of normal and disease tissues and through the recent efforts of the Human Cell Atlas project, many have been characterized by immunofluorescence to map the human proteome not only at the tissue level but now at the subcellular level. These images and the collection of this vast data set can be viewed on the Human Protein Atlas (HPA) site by clicking on the Image Gallery link. We also provide Prestige Antibodies® protocols and other useful information.
Biochem/physiol Actions
FRMD6 (FERM domain containing 6) encodes a protein belonging to the 4.1 superfamily of proteins that contain a 4.1 Ezrin Radixin Moesin (FERM) domain. This domain is present in the N-terminus and is capable of binding phospholipids. It co-localizes with actin either in the cytoplasm or at the plasma membrane. This gene is implicated in Alzheimer′s disease. The protein activates the Hippo signaling pathway kinases in mammals. It also antagonizes the oncogenic Hippo signaling pathway component YAP. The Hippo signaling pathway regulates cell contact inhibition, organ size control, cell growth, proliferation, apoptosis and cancer development in mammals.
Features and Benefits
Prestige Antibodies® are highly characterized and extensively validated antibodies with the added benefit of all available characterization data for each target being accessible via the Human Protein Atlas portal linked just below the product name at the top of this page. The uniqueness and low cross-reactivity of the Prestige Antibodies® to other proteins are due to a thorough selection of antigen regions, affinity purification, and stringent selection. Prestige antigen controls are available for every corresponding Prestige Antibody and can be found in the linkage section.
Every Prestige Antibody is tested in the following ways:
Every Prestige Antibody is tested in the following ways:
- IHC tissue array of 44 normal human tissues and 20 of the most common cancer type tissues.
- Protein array of 364 human recombinant protein fragments.
Physical form
Solution in phosphate-buffered saline, pH 7.2, containing 40% glycerol and 0.02% sodium azide
Other Notes
Corresponding Antigen APREST70394.
Legal Information
Prestige Antibodies is a registered trademark of Merck KGaA, Darmstadt, Germany
Disclaimer
Unless otherwise stated in our catalog or other company documentation accompanying the product(s), our products are intended for research use only and are not to be used for any other purpose, which includes but is not limited to, unauthorized commercial uses, in vitro diagnostic uses, ex vivo or in vivo therapeutic uses or any type of consumption or application to humans or animals.
未找到合适的产品?
试试我们的产品选型工具.
存储类别
10 - Combustible liquids
wgk
WGK 1
flash_point_f
Not applicable
flash_point_c
Not applicable
ppe
Eyeshields, Gloves, multi-purpose combination respirator cartridge (US)
法规信息
常规特殊物品
此项目有
Felipe De Sousa E Melo et al.
Nature medicine, 19(5), 614-618 (2013-04-16)
Colon cancer is a clinically diverse disease. This heterogeneity makes it difficult to determine which patients will benefit most from adjuvant therapy and impedes the development of new targeted agents. More insight into the biological diversity of colon cancers, especially
Frank J Gunn-Moore et al.
FEBS letters, 579(22), 5089-5094 (2005-09-03)
The 4.1 superfamily of proteins contain a 4.1 Ezrin Radixin Moesin (FERM) domain and are described as linking the cytoskeleton with the plasma membrane. Here, we describe a new FERM domain-containing protein called Willin. Willin has a recognizable FERM domain
Mun-Gwan Hong et al.
Human mutation, 33(3), 521-529 (2011-12-23)
Genome-wide association studies (GWAS) that allow for allelic heterogeneity may facilitate the discovery of novel genes not detectable by models that require replication of a single variant site. One strategy to accomplish this is to focus on genes rather than
L Angus et al.
Oncogene, 31(2), 238-250 (2011-06-15)
The Salvador/Warts/Hippo (Hippo) signaling pathway defines a novel signaling cascade regulating cell contact inhibition, organ size control, cell growth, proliferation, apoptosis and cancer development in mammals. The Drosophila melanogaster protein Expanded acts in the Hippo signaling pathway to control organ
Kenichi Mochizuki et al.
PloS one, 17(10), e0273566-e0273566 (2022-10-21)
Colorectal cancer (CRC) can be classified into four consensus molecular subtypes (CMS) according to genomic aberrations and gene expression profiles. CMS is expected to be useful in predicting prognosis and selecting chemotherapy regimens. However, there are still no reports on
相关内容
Prestige Antibodies Immunofluorescence Procedure
我们的科学家团队拥有各种研究领域经验,包括生命科学、材料科学、化学合成、色谱、分析及许多其他领域.
联系客户支持