biological source
rabbit
conjugate
unconjugated
antibody form
affinity isolated antibody
antibody product type
primary antibodies
clone
polyclonal
product line
Prestige Antibodies® Powered by Atlas Antibodies
form
buffered aqueous glycerol solution
species reactivity
human
enhanced validation
orthogonal RNAseq
Learn more about Antibody Enhanced Validation
technique(s)
immunohistochemistry: 1:50-1:200
immunogen sequence
PSLITKQMLTFYSADTDQGQELTRLWDRVMIEQECCGTSGPMDWVNFTSAFRAATPEVVFPWPPLCCRRTGNFIPLNEEGCRLGHMDYLFT
UniProt accession no.
shipped in
wet ice
storage temp.
−20°C
target post-translational modification
unmodified
Gene Information
human ... UPK1A(11045)
Immunogen
uroplakin 1A recombinant protein epitope signature tag (PrEST)
Application
All Prestige Antibodies Powered by Atlas Antibodies are developed and validated by the Human Protein Atlas (HPA) project and as a result, are supported by the most extensive characterization in the industry.
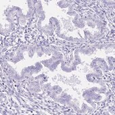
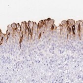
The Human Protein Atlas project can be subdivided into three efforts: Human Tissue Atlas, Cancer Atlas, and Human Cell Atlas. The antibodies that have been generated in support of the Tissue and Cancer Atlas projects have been tested by immunohistochemistry against hundreds of normal and disease tissues and through the recent efforts of the Human Cell Atlas project, many have been characterized by immunofluorescence to map the human proteome not only at the tissue level but now at the subcellular level. These images and the collection of this vast data set can be viewed on the Human Protein Atlas (HPA) site by clicking on the Image Gallery link. We also provide Prestige Antibodies® protocols and other useful information.
The Human Protein Atlas project can be subdivided into three efforts: Human Tissue Atlas, Cancer Atlas, and Human Cell Atlas. The antibodies that have been generated in support of the Tissue and Cancer Atlas projects have been tested by immunohistochemistry against hundreds of normal and disease tissues and through the recent efforts of the Human Cell Atlas project, many have been characterized by immunofluorescence to map the human proteome not only at the tissue level but now at the subcellular level. These images and the collection of this vast data set can be viewed on the Human Protein Atlas (HPA) site by clicking on the Image Gallery link. We also provide Prestige Antibodies® protocols and other useful information.
Features and Benefits
Prestige Antibodies® are highly characterized and extensively validated antibodies with the added benefit of all available characterization data for each target being accessible via the Human Protein Atlas portal linked just below the product name at the top of this page. The uniqueness and low cross-reactivity of the Prestige Antibodies® to other proteins are due to a thorough selection of antigen regions, affinity purification, and stringent selection. Prestige antigen controls are available for every corresponding Prestige Antibody and can be found in the linkage section.
Every Prestige Antibody is tested in the following ways:
Every Prestige Antibody is tested in the following ways:
- IHC tissue array of 44 normal human tissues and 20 of the most common cancer type tissues.
- Protein array of 364 human recombinant protein fragments.
Physical form
Solution in phosphate buffered saline, pH 7.2, containing 40% glycerol and 0.02% sodium azide.
Other Notes
Corresponding Antigen APREST81849
Legal Information
Prestige Antibodies is a registered trademark of Merck KGaA, Darmstadt, Germany
Still not finding the right product?
试用我们的 产品选型工具 工具缩小选择范围
存储类别
10 - Combustible liquids
wgk
WGK 1
flash_point_f
Not applicable
flash_point_c
Not applicable
法规信息
常规特殊物品
此项目有
Martina Živná et al.
Journal of the American Society of Nephrology : JASN, 29(9), 2418-2431 (2018-07-04)
Autosomal dominant tubulointerstitial kidney disease caused by mucin-1 gene (MUC1) mutations (ADTKD-MUC1) is characterized by progressive kidney failure. Genetic evaluation for ADTKD-MUC1 specifically tests for a cytosine duplication that creates a unique frameshift protein (MUC1fs). Our goal was to develop
Xiaomu Cheng et al.
Cell death & disease, 12(5), 446-446 (2021-05-07)
Cyclophosphamide is a commonly used chemotherapeutic drug to treat cancer with side effects that trigger bladder injury and hemorrhagic cystitis. Although previous studies have demonstrated that certain cell subsets and communications are activated to drive the repair and regeneration of
Huadong Lai et al.
International journal of cancer, 149(12), 2099-2115 (2021-09-05)
Bladder cancer represents a highly heterogeneous disease characterized by distinct histological, molecular and clinical phenotypes, and a detailed analysis of tumor cell invasion and crosstalks within bladder tumor cells has not been determined. Here, we applied droplet-based single-cell RNA sequencing
全球贸易项目编号
| 货号 | GTIN |
|---|---|
| HPA049879-25UL | 04061841183518 |
| HPA049879-100UL | 04061835651283 |