跳转至内容
Merck
CN

PLA0128

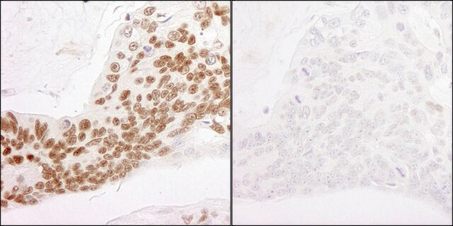
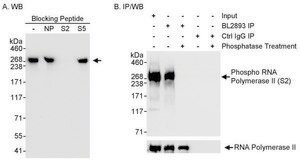
Rabbit anti-Phospho RNA Polymerase II (S2) Antibody, Affinity Purified

Powered by Bethyl Laboratories, Inc.

别名:

220kDa, DNA-directed RNA polymerase II largest subunit, DNA-directed RNA polymerase II subunit A, DNA-directed RNA polymerase III largest subunit, POLR2, POLRA, RNA polymerase II 220 kd subunit, RNA polymerase II subunit B1, RNA-directed RNA polymerase II subunit RPB1, RPB1, RPBh1, RPO2, RPOL2, RpIILS, hRPB220, hsRPB1, polymerase (RNA) II (DNA directed) polypeptide A

登录 查看组织和合同定价。

选择尺寸

变更视图

关于此项目

UNSPSC Code:
12352203
技术服务
需要帮助?我们经验丰富的科学家团队随时乐意为您服务。
让我们为您提供帮助

biological source

rabbit

Quality Level

antibody form

affinity purified immunoglobulin

antibody product type

primary antibodies

species reactivity

mouse, human

technique(s)

immunohistochemistry: 1:200- 1:1,000, immunoprecipitation (IP): 2-10 μg/mg, western blot: 1:2,000-1:10,000

accession no.

NP_000928.1

shipped in

wet ice

storage temp.

2-8°C

Gene Information

human ... POLR2A(5430)

Immunogen

Immunogen for PLA0128 was a phosphorylated synthetic peptide, which represented a portion of human RNA Polymerase II (GeneID 5430) around serine 2 of the C-terminal repeat YSPTSPS.

Physical form

Tris-buffered Saline containing 0.1% BSA containing 0.09% Sodium Azide

Other Notes

The RNA polymerase II subunit B1 (RPB1) is the largest subunit of the RNA polymerase II core complex. RNA polymerase II holoenzyme functions to transcribe DNA into messenger RNA in eukaryotes. RPB1 forms the DNA binding domain of the polymerase that forms a cleft that grabs the incoming DNA template to translocate the holoenzyme across the RNA-DNA hybrid.

Disclaimer

Unless otherwise stated in our catalog or other company documentation accompanying the product(s), our products are intended for research use only and are not to be used for any other purpose, which includes but is not limited to, unauthorized commercial uses, in vitro diagnostic uses, ex vivo or in vivo therapeutic uses or any type of consumption or application to humans or animals.

未找到合适的产品?  

试试我们的产品选型工具.

存储类别

12 - Non Combustible Liquids

wgk

WGK 1

flash_point_f

Not applicable

flash_point_c

Not applicable

法规信息

常规特殊物品
含少量动物源组分生物产品

此项目有


历史批次信息供参考:

分析证书(COA)

Lot/Batch Number

没有发现合适的版本?

如果您需要特殊版本,可通过批号或批次号查找具体证书。

已有该产品?

在文件库中查找您最近购买产品的文档。

访问文档库

我们的科学家团队拥有各种研究领域经验,包括生命科学、材料科学、化学合成、色谱、分析及许多其他领域.

联系客户支持