跳转至内容
Merck
CN

PLA0147

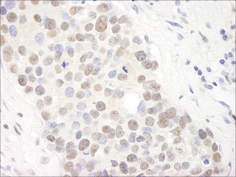
Rabbit anti-TIF1 Alpha/TRIM24 Antibody, Affinity Purified

Powered by Bethyl Laboratories, Inc.

别名:

E3 ubiquitin-protein ligase TRIM24, PTC6, RING finger protein 82, RNF82, TF1A, TIF1, TIF1-alpha, TIF1A, TIF1ALPHA, Tripartite motif-containing protein 24, hTIF1, transcriptional intermediary factor 1, tripartite motif-containing 24

登录 查看组织和合同定价。

选择尺寸


关于此项目

NACRES:
NA.41
UNSPSC Code:
12352203
Species reactivity:
human, mouse
Technique(s):
ChIP: 4-30 μg, immunohistochemistry: 1:200- 1:1,000, immunoprecipitation (IP): 2-10 μg/mg, western blot: 1:2,000- 1:10,000
Application:
ChIP, IHC, IP, WB
Citations:
-
技术服务
需要帮助?我们经验丰富的科学家团队随时乐意为您服务。
让我们为您提供帮助
技术服务
需要帮助?我们经验丰富的科学家团队随时乐意为您服务。
让我们为您提供帮助

biological source

rabbit

antibody form

affinity purified immunoglobulin

antibody product type

primary antibodies

species reactivity

human, mouse

technique(s)

ChIP: 4-30 μg, immunohistochemistry: 1:200- 1:1,000, immunoprecipitation (IP): 2-10 μg/mg, western blot: 1:2,000- 1:10,000

accession no.

NP_056989.2

shipped in

wet ice

storage temp.

2-8°C

target post-translational modification

unmodified

Quality Level

Gene Information

human ... TRIM24(8805)

Immunogen

The epitope recognized by PLA0147 maps to a region between residue 700 and 750 of human Transcriptional Intermediary Factor 1 Alpha (Tripartite Motif-Containing 24 ) using the numbering given in entry NP_056989.2 (GeneID 8805).

Physical form

Tris-buffered Saline containing 0.1% BSA with 0.09% Sodium Azide

Other Notes

TIF1 Alpha/TRIM24 is a member of a family of proteins that control transcription and chromatin remodeling through their interaction with transcription factors. The family of TIF1s (transcriptional intermediary factor 1) includes TIF1-alpha, TIF1-beta, and TIF1-gamma. TIF1-alpha plays an important role in development and mediates transcriptional control by interacting with the AF2 region of nuclear receptors such as estrogen, retinoic acid, and vitamin D3 receptors. TIF1-alpha has been shown to be a repressor of transcription. This transcriptional repression involves histone deacetylation and interaction with members of the heterochromatin protein 1 family.

Disclaimer

Unless otherwise stated in our catalog or other company documentation accompanying the product(s), our products are intended for research use only and are not to be used for any other purpose, which includes but is not limited to, unauthorized commercial uses, in vitro diagnostic uses, ex vivo or in vivo therapeutic uses or any type of consumption or application to humans or animals.

未找到合适的产品?  

试试我们的产品选型工具.

存储类别

12 - Non Combustible Liquids

wgk

WGK 1

flash_point_f

Not applicable

flash_point_c

Not applicable

法规信息

常规特殊物品
低风险生物材料
此项目有

历史批次信息供参考:

分析证书(COA)

Lot/Batch Number

没有发现合适的版本?

如果您需要特殊版本,可通过批号或批次号查找具体证书。

已有该产品?

在文件库中查找您最近购买产品的文档。

访问文档库

我们的科学家团队拥有各种研究领域经验,包括生命科学、材料科学、化学合成、色谱、分析及许多其他领域.

联系客户支持