跳转至内容
Merck
CN

PLA0197

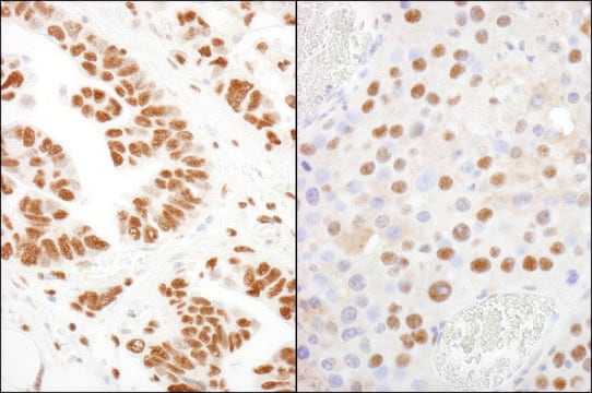
Rabbit anti-CPSF160 Antibody, Affinity Purified

Powered by Bethyl Laboratories, Inc.

别名:

160kD subunit, 160kDa, CPSF 160 kDa subunit, CPSF160, HSU37012, P/cl.18, cleavage and polyadenylation specific factor 1, cleavage and polyadenylation specificity factor 160 kDa subunit, polyadenylation specificity factor

登录 查看组织和合同定价。

选择尺寸


关于此项目

NACRES:
NA.41
UNSPSC Code:
12352203
技术服务
需要帮助?我们经验丰富的科学家团队随时乐意为您服务。
让我们为您提供帮助
技术服务
需要帮助?我们经验丰富的科学家团队随时乐意为您服务。
让我们为您提供帮助

biological source

rabbit

antibody form

affinity purified immunoglobulin

antibody product type

primary antibodies

species reactivity

mouse, human

technique(s)

immunohistochemistry: 1:100- 1:500, immunoprecipitation (IP): 2-5 μg/mg, western blot: 1:2,000- 1:10,000

accession no.

NP_037423.

shipped in

wet ice

storage temp.

2-8°C

Quality Level

Gene Information

rabbit ... CPSF160(29894)

Immunogen

The epitope recognized by PLA0197 maps to a region between residue 1392 and 1442 of human cleavage and polyadenylation specific factor 1, 160kD subunit using the numbering given in entry NP_037423.1 (GeneID 29894).

Physical form

Tris-buffered Saline containing 0.1% BSA containing 0.09% Sodium Azide

Other Notes

CPSF160/CPSF1 (cleavage and polyadenylation specific factor 1, 160 kDa subunit) is a subunit of the cleavage and polyadenylation specificity factor (CPSF) involved in mammalian mRNA 3′-end processing. CPSF, along with CstF (cleavage and stimulation factor), is critical for the recognition of cis-acting sequence elements on the pre-mRNA that dictate the site of cleavage and subsequent polyadenylation. CPSF exists as a complex of four proteins that includes CPSF160, CPSF100, CPSF73, and CPSF30. CPSF160 is responsible for recognizing the (AAUAAA) poly (A) signal for cleavage and polyadenylation.

Disclaimer

Unless otherwise stated in our catalog or other company documentation accompanying the product(s), our products are intended for research use only and are not to be used for any other purpose, which includes but is not limited to, unauthorized commercial uses, in vitro diagnostic uses, ex vivo or in vivo therapeutic uses or any type of consumption or application to humans or animals.

未找到合适的产品?  

试试我们的产品选型工具.

存储类别

12 - Non Combustible Liquids

wgk

WGK 1

flash_point_f

Not applicable

flash_point_c

Not applicable

法规信息

新产品
此项目有

历史批次信息供参考:

分析证书(COA)

Lot/Batch Number

没有发现合适的版本?

如果您需要特殊版本,可通过批号或批次号查找具体证书。

已有该产品?

在文件库中查找您最近购买产品的文档。

访问文档库

我们的科学家团队拥有各种研究领域经验,包括生命科学、材料科学、化学合成、色谱、分析及许多其他领域.

联系客户支持