跳转至内容
Merck
CN

PRS2059

Anti-DNASE II antibody produced in rabbit

affinity isolated antibody, buffered aqueous solution

别名:

Anti-Deoxyribonuclease II, lysosomal

登录 查看组织和合同定价。

选择尺寸

变更视图

关于此项目

UNSPSC Code:
12352203
NACRES:
NA.41
MDL number:
Conjugate:
unconjugated
Clone:
polyclonal
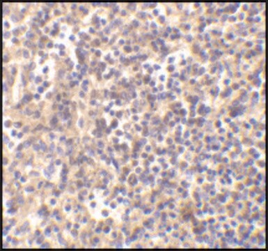
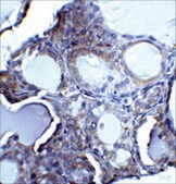
Application:
ELISA (i), IF, IHC, WB
Citations:
-
技术服务
需要帮助?我们经验丰富的科学家团队随时乐意为您服务。
让我们为您提供帮助

biological source

rabbit

conjugate

unconjugated

antibody form

affinity isolated antibody

antibody product type

primary antibodies

clone

polyclonal

form

buffered aqueous solution

mol wt

predicted mol wt 40 kDa

species reactivity

human

technique(s)

immunofluorescence: suitable, immunohistochemistry: suitable, indirect ELISA: suitable, western blot: suitable

UniProt accession no.

shipped in

dry ice

storage temp.

−20°C

target post-translational modification

unmodified

Gene Information

human ... DNASE2(1777)

Immunogen

a peptide corresponding to amino acids 347-360 of human DNase II precursor.

Physical form

Solution in phosphate buffered saline containing 0.02% sodium azide

Other Notes

The action of this antibody can be blocked using blocking peptide SBP2059.

Disclaimer

Unless otherwise stated in our catalog or other company documentation accompanying the product(s), our products are intended for research use only and are not to be used for any other purpose, which includes but is not limited to, unauthorized commercial uses, in vitro diagnostic uses, ex vivo or in vivo therapeutic uses or any type of consumption or application to humans or animals.

未找到合适的产品?  

试试我们的产品选型工具.

存储类别

10 - Combustible liquids

wgk

WGK 2

flash_point_f

Not applicable

flash_point_c

Not applicable

法规信息

常规特殊物品
低风险生物材料

此项目有


历史批次信息供参考:

分析证书(COA)

Lot/Batch Number

没有发现合适的版本?

如果您需要特殊版本,可通过批号或批次号查找具体证书。

已有该产品?

在文件库中查找您最近购买产品的文档。

访问文档库

全球贸易项目编号

货号GTIN
PRS2059-100UG04061832509143

我们的科学家团队拥有各种研究领域经验,包括生命科学、材料科学、化学合成、色谱、分析及许多其他领域.

联系客户支持