跳转至内容
Merck
CN

SAB1300575

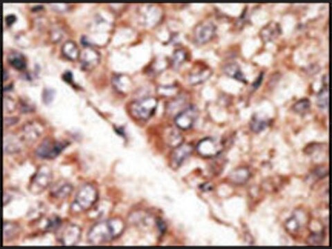
Anti-BMP15 (center) antibody produced in rabbit

saturated ammonium sulfate (SAS) precipitated, buffered aqueous solution

别名:

Anti-GDF9B, Anti-ODG2, Anti-POF4

登录 查看组织和合同定价。

选择尺寸


关于此项目

NACRES:
NA.41
UNSPSC Code:
12352203
技术服务
需要帮助?我们经验丰富的科学家团队随时乐意为您服务。
让我们为您提供帮助
技术服务
需要帮助?我们经验丰富的科学家团队随时乐意为您服务。
让我们为您提供帮助

biological source

rabbit

conjugate

unconjugated

antibody form

saturated ammonium sulfate (SAS) precipitated

antibody product type

primary antibodies

clone

polyclonal

form

buffered aqueous solution

species reactivity

human

technique(s)

immunohistochemistry: 1:50-1:100, indirect ELISA: 1:1000

NCBI accession no.

UniProt accession no.

shipped in

dry ice

storage temp.

−20°C

Gene Information

human ... BMP15(9210)

General description

Bmp15 is a member of the bone morphogenetic protein family which is part of the transforming growth factor-beta superfamily. The transforming growth factor-beta superfamily includes large families of growth and differentiation factors. It is thought that Bmp15 may be involved in oocyte maturation and follicular development as a homodimer or by forming heterodimers with a related protein, Gdf9.

Immunogen

BMP15 (NP_005439, 246-281)
This antibody is generated from rabbits immunized with a KLH conjugated synthetic peptide selected from the Center region of human BMP15.

Physical form

Purified polyclonal antibody supplied in PBS with 0.09% (W/V) sodium azide.

Disclaimer

Unless otherwise stated in our catalog or other company documentation accompanying the product(s), our products are intended for research use only and are not to be used for any other purpose, which includes but is not limited to, unauthorized commercial uses, in vitro diagnostic uses, ex vivo or in vivo therapeutic uses or any type of consumption or application to humans or animals.

未找到合适的产品?  

试试我们的产品选型工具.

存储类别

10 - Combustible liquids

wgk

nwg

flash_point_f

Not applicable

flash_point_c

Not applicable

法规信息

新产品
此项目有

历史批次信息供参考:

分析证书(COA)

Lot/Batch Number

没有发现合适的版本?

如果您需要特殊版本,可通过批号或批次号查找具体证书。

已有该产品?

在文件库中查找您最近购买产品的文档。

访问文档库

我们的科学家团队拥有各种研究领域经验,包括生命科学、材料科学、化学合成、色谱、分析及许多其他领域.

联系客户支持