biological source
rabbit
conjugate
unconjugated
antibody form
affinity isolated antibody
antibody product type
primary antibodies
clone
polyclonal
form
buffered aqueous solution
species reactivity
rat, mouse, human
technique(s)
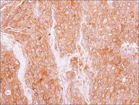
immunohistochemistry: suitable, western blot: 500-3000
NCBI accession no.
UniProt accession no.
shipped in
wet ice
storage temp.
−20°C
Gene Information
human ... GMFB(2764)
Immunogen
Recombinant fragment corresponding to a region within amino acids 1 and 142 of GMF beta according to NP_004115
Application
Suggested starting dilutions are as follows: IHC-P: 1:100-1:1000, WB: 1:500-1:3000. Not yet tested in other applications. Optimal working dilutions should be determined experimentally by the end user.
Biochem/physiol Actions
This protein causes differentiation of brain cells, stimulation of neural regeneration, and inhibition of proliferation of tumor cells.
Features and Benefits
Evaluate our antibodies with complete peace of mind. If the antibody does not perform in your application, we will issue a full credit or replacement antibody. Learn more.
Physical form
0.1M Tris, 0.1M Glycine, 10% Glycerol (pH7). 0.01% Thimerosal was added as a preservative.
Disclaimer
For U.S. Customers: Contains mercury; Do not place in trash - dispose according to local, state, or federal laws.


Unless otherwise stated in our catalog or other company documentation accompanying the product(s), our products are intended for research use only and are not to be used for any other purpose, which includes but is not limited to, unauthorized commercial uses, in vitro diagnostic uses, ex vivo or in vivo therapeutic uses or any type of consumption or application to humans or animals.
Still not finding the right product?
试用我们的 产品选型工具 工具缩小选择范围
存储类别
12 - Non Combustible Liquids
wgk
WGK 1
flash_point_f
Not applicable
flash_point_c
Not applicable
法规信息
新产品
此项目有
Elizabeth M Haynes et al.
The Journal of cell biology, 209(6), 803-812 (2015-06-24)
The lamellipodium is an important structure for cell migration containing branched actin nucleated via the Arp2/3 complex. The formation of branched actin is relatively well studied, but less is known about its disassembly and how this influences migration. GMF is