跳转至内容
Merck
CN

SAB4200029

Anti-HOXD9 antibody produced in rabbit

~1.0 mg/mL, affinity isolated antibody

别名:

Anti-HOX4C, Anti-Homeobox D9, Anti-Hox-4.3

登录 查看组织和合同定价。

选择尺寸


关于此项目

NACRES:
NA.41
UNSPSC Code:
12352203
Conjugate:
unconjugated
Clone:
polyclonal
Application:
IF, IP, WB
Citations:
5
技术服务
需要帮助?我们经验丰富的科学家团队随时乐意为您服务。
让我们为您提供帮助
技术服务
需要帮助?我们经验丰富的科学家团队随时乐意为您服务。
让我们为您提供帮助

biological source

rabbit

conjugate

unconjugated

antibody form

affinity isolated antibody

antibody product type

primary antibodies

clone

polyclonal

mol wt

antigen ~40 kDa

species reactivity

human

packaging

antibody small pack of 25 μL

concentration

~1.0 mg/mL

technique(s)

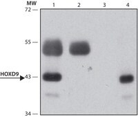
immunoprecipitation (IP): 2.5-5 μg using lysates of HEK-293T cells over expressing human HOXD9, indirect immunofluorescence: 2.5-5 μg/mL using paraformaldehyde fixed HEK-293T cells over expressing human HOXD9, western blot: 0.5-1 μg/mL using lysates of HEK-293T cells over expressing human HOXD9

UniProt accession no.

shipped in

dry ice

storage temp.

−20°C

target post-translational modification

unmodified

Gene Information

human ... HOXD9(3235)
mouse ... Hoxd9(15438)
rat ... Hoxd9(688999)

正在寻找类似产品? 访问 产品对比指南

General description

In vertebrates, there are 39 homeobox (HOX) genes that are organized into four clusters (HOXA-HOXD), located on different chromosomes (7p15, 17q21.2, 12q13, and 2q31). Each cluster contains 9−11 member genes encoding relatively small gene products containing a highly conserved 60-amino-acid region (the homeobox), with DNA-binding activity that contributes to their activity as transcription factors.

Application

Anti-HOXD9 antibody produced in rabbit has been used in:
  • immunoblotting
  • immunoprecipitation
  • immunofluorescence

Biochem/physiol Actions

Homeobox (HOX) genes are evolutionarily conserved transcription factors, that control important development pathways involved in morphogenesis of the embryo. One of the major functions of HOX genes seems to be the formation of the body plan during embryonic development. In addition to roles in normal development, altered homeobox gene function or expression is implicated in the development of cancers such as leukemias or neoplasms of the breast, prostate, kidney, colon, skin and brain. HOXD9 is involved in the development processes such as patterning of forelimb, axial skeleton and embryonic segmentation. It might promote cell migration, invasion and metastasis in hepatocellular carcinoma. HOXD9 was shown to be involved in the early stages of normal joint development and also in the pathologic process of arthritis.

Physical form

Solution in 0.01 M phos­phate buffered saline, pH 7.4, containing 15 mM sodium azide.

Disclaimer

Unless otherwise stated in our catalog or other company documentation accompanying the product(s), our products are intended for research use only and are not to be used for any other purpose, which includes but is not limited to, unauthorized commercial uses, in vitro diagnostic uses, ex vivo or in vivo therapeutic uses or any type of consumption or application to humans or animals.

未找到合适的产品?  

试试我们的产品选型工具.

存储类别

10 - Combustible liquids

flash_point_f

Not applicable

flash_point_c

Not applicable

法规信息

新产品
此项目有

历史批次信息供参考:

分析证书(COA)

Lot/Batch Number

没有发现合适的版本?

如果您需要特殊版本,可通过批号或批次号查找具体证书。

已有该产品?

在文件库中查找您最近购买产品的文档。

访问文档库

Epigenome-wide DNA methylation landscape of melanoma progression to brain metastasis reveals aberrations on homeobox D cluster associated with prognosis
Marzese DM, et al.
Human Molecular Genetics, 23(1), 226-238 (2013)
Histone acetylation regulates the expression of HoxD9 transcription factor in endothelial progenitor cells
Iordache F, et al.
Romanian Journal of Morphology and Embryology, 56(1), 107-113 (2015)
HOXD9 promotes epithelial-mesenchymal transition and cancer metastasis by ZEB1 regulation in hepatocellular carcinoma
Lv X, et al.
Journal of Experimental & Clinical Cancer Research, 34(1), 133-133 (2015)
Role of HOX genes in stem cell differentiation and Cancer
Bhatlekar S, et al.
Stem Cells International, 2018(1), 107-113 (2018)
Expression of murine HOXD9 during embryonic joint patterning and in human T lymphotropic virus type I tax transgenic mice with arthropathy resembling rheumatoid arthritis.
Khoa ND, et al.
Arthritis and Rheumatism, 42(4), 686-696 (1999)

相关内容

我们的科学家团队拥有各种研究领域经验,包括生命科学、材料科学、化学合成、色谱、分析及许多其他领域.

联系客户支持