跳转至内容
Merck
CN

SAB4200154

Anti-Importin 9 (C-terminal) antibody produced in rabbit

~1.0 mg/mL, affinity isolated antibody

别名:

Anti-IMP9, Anti-IPO9, Anti-RAN-binding protein 9, Anti-RANBP9

登录 查看组织和合同定价。

选择尺寸

变更视图

关于此项目

NACRES:
NA.41
UNSPSC Code:
12352203
Conjugate:
unconjugated
Clone:
polyclonal
Application:
IP, WB
Citations:
6
技术服务
需要帮助?我们经验丰富的科学家团队随时乐意为您服务。
让我们为您提供帮助


biological source

rabbit

conjugate

unconjugated

antibody form

affinity isolated antibody

antibody product type

primary antibodies

clone

polyclonal

form

buffered aqueous solution

mol wt

antigen ~120 kDa

species reactivity

human

concentration

~1.0 mg/mL

technique(s)

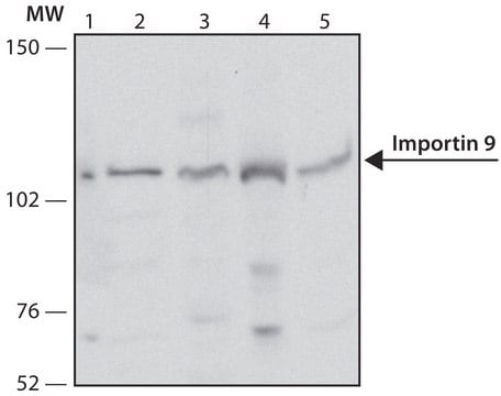
immunoprecipitation (IP): 5-10 μg using HEK-293T cell lysates, western blot: 1-2 μg/mL using HeLa cell lysates

UniProt accession no.

shipped in

dry ice

storage temp.

−20°C

target post-translational modification

unmodified

Gene Information

human ... IPO9(55705)
mouse ... Ipo9(226432)
rat ... Ipo9(304817)

General description

Protein IPO9 exists in two isoforms: a and b in mouse.
Importin 9 (IPO9) is encoded by the gene mapped to human chromosome 1q32.1. The encoded protein is a molecular transporter and chaperone and is a member of karyopherins super-family. IPO9 has a molecular weight of ~110kDa.

Immunogen

synthetic peptide corresponding to a sequence at the C-terminal part of human Importin 9 conjugated to KLH. The corresponding sequence is identical in mouse and rat.

Application

Anti-Importin 9 (C-terminal) antibody produced in rabbit is suitable for immunoblotting and immunoprecipitation.

Biochem/physiol Actions

Anti-Importin 9 (C-terminal) recognizes human Importin 9.
Importin 9 (IPO9) promotes transcriptional activity by actively regulating nuclear actin levels. The encoded protein facilitates transport of ribosomal proteins and core histones into the nucleus. Additionally, it acts as an import receptor for c-Jun. Elevated expression of Ipo9 decreased and knockdown of Ipo9 increased basal type I interferon (IFN)-ε expression.
Importins mediate the active transport of cargo molecules through nuclear pore complexes (NPCs). The importins might also protect the cargoes against unnecessary interactions during transit to the nucleus. IPO9 serves as an import factor for protein phosphatase 2A (PP2A) and the hepatocellular carcinoma-associated protein.

Physical form

Solution in 0.01 M phos­phate buffered saline, pH 7.4, containing 15 mM sodium azide.

Preparation Note

For continuous use, store at 2-8 °C for up to one month. For extended storage, freeze in working aliquots. Repeated freezing and thawing, or storage in “frost-free” freezers, is not recommended. If slight turbidity occurs upon prolonged storage, clarify the solution by centrifugation before use. Working dilutions should be discarded if not used within 12 hours.

Disclaimer

Unless otherwise stated in our catalog or other company documentation accompanying the product(s), our products are intended for research use only and are not to be used for any other purpose, which includes but is not limited to, unauthorized commercial uses, in vitro diagnostic uses, ex vivo or in vivo therapeutic uses or any type of consumption or application to humans or animals.


Still not finding the right product?

试用我们的 产品选型工具 工具缩小选择范围


存储类别

10 - Combustible liquids

flash_point_f

Not applicable

flash_point_c

Not applicable

法规信息

新产品

此项目有



历史批次信息供参考:

分析证书(COA)

Lot/Batch Number

没有发现合适的版本?

如果您需要特殊版本,可通过批号或批次号查找具体证书。

已有该产品?

在文件库中查找您最近购买产品的文档。

访问文档库


相关内容


Yuh Min Chook et al.
Biochimica et biophysica acta, 1813(9), 1593-1606 (2010-10-30)
Proteins in the karyopherin-β family mediate the majority of macromolecular transport between the nucleus and the cytoplasm. Eleven of the 19 known human karyopherin-βs and 10 of the 14S. cerevisiae karyopherin-βs mediate nuclear import through recognition of nuclear localization signals
Active maintenance of nuclear actin by importin 9 supports transcription.
Dopie J
Proceedings of the National Academy of Sciences of the USA, 109, E544-E552 (2012)
Stefan Jäkel et al.
The EMBO journal, 21(3), 377-386 (2002-02-02)
Many nuclear transport pathways are mediated by importin beta-related transport receptors. Here, we identify human importin (Imp) 4b as well as mouse Imp4a, Imp9a and Imp9b as novel family members. Imp4a mediates import of the ribosomal protein (rp) S3a, while



全球贸易项目编号

货号GTIN
SAB4200154-200UL04061838035059