跳转至内容
Merck
CN

SAB4300793

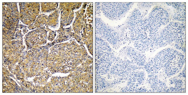
Anti-Cytochrome P450 8B1 antibody produced in rabbit

affinity isolated antibody

别名:

CYP8B1, Cytochrome P450, family 8, polypeptide 1, subfamily B

登录 查看组织和合同定价。

选择尺寸

变更视图

关于此项目

NACRES:
NA.41
UNSPSC Code:
12352203
技术服务
需要帮助?我们经验丰富的科学家团队随时乐意为您服务。
让我们为您提供帮助


biological source

rabbit

antibody form

affinity isolated antibody

antibody product type

primary antibodies

clone

polyclonal

form

buffered aqueous solution

mol wt

58 kDa

species reactivity

human

concentration

1.0 mg/mL

technique(s)

immunohistochemistry: 1:50-1:100, western blot: 1:500-1:3000 (Cell Lysate)

isotype

IgG

accession no.

NP_004382.2

UniProt accession no.

shipped in

wet ice

storage temp.

−20°C

Gene Information

human ... CYP8B1(1582)

Immunogen

Synthesized peptide derived from internal of human Cytochrome P450 8B1.

Biochem/physiol Actions

The antibody detects endogenous levels of total Cytochrome P450 8B1 protein.

Features and Benefits

Evaluate our antibodies with complete peace of mind. If the antibody does not perform in your application, we will issue a full credit or replacement antibody. Learn more.

Physical form

Rabbit IgG in phosphate buffered saline (without Mg2+ and Ca2+), pH 7.4, 150mM NaCl, 0.02% sodium azide and 50% glycerol.

Disclaimer

Unless otherwise stated in our catalog or other company documentation accompanying the product(s), our products are intended for research use only and are not to be used for any other purpose, which includes but is not limited to, unauthorized commercial uses, in vitro diagnostic uses, ex vivo or in vivo therapeutic uses or any type of consumption or application to humans or animals.


Still not finding the right product?

试用我们的 产品选型工具 工具缩小选择范围


存储类别

10 - Combustible liquids

wgk

WGK 1

flash_point_f

Not applicable

flash_point_c

Not applicable

法规信息

新产品

此项目有



历史批次信息供参考:

分析证书(COA)

Lot/Batch Number

没有发现合适的版本?

如果您需要特殊版本,可通过批号或批次号查找具体证书。

已有该产品?

在文件库中查找您最近购买产品的文档。

访问文档库