跳转至内容
Merck
CN

SAB4502876

Anti-STAT5A antibody produced in rabbit

affinity isolated antibody

别名:

MGF, MPF, Mammary gland factor, STA5A, STAT5

登录 查看组织和合同定价。

选择尺寸


关于此项目

NACRES:
NA.41
UNSPSC Code:
12352203
Conjugate:
unconjugated
Clone:
polyclonal
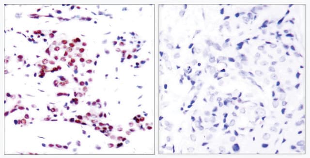
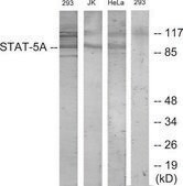
Application:
ELISA, IHC, WB
Citations:
-
技术服务
需要帮助?我们经验丰富的科学家团队随时乐意为您服务。
让我们为您提供帮助
技术服务
需要帮助?我们经验丰富的科学家团队随时乐意为您服务。
让我们为您提供帮助

biological source

rabbit

conjugate

unconjugated

antibody form

affinity isolated antibody

antibody product type

primary antibodies

clone

polyclonal

form

buffered aqueous solution

mol wt

antigen 90 kDa

species reactivity

human, mouse, rat

concentration

~1 mg/mL

technique(s)

ELISA: 1:20000, immunohistochemistry: 1:50-1:100, western blot: 1:500-1:1000

NCBI accession no.

UniProt accession no.

shipped in

wet ice

storage temp.

−20°C

target post-translational modification

unmodified

Gene Information

human ... STAT5A(6776)

正在寻找类似产品? 访问 产品对比指南

General description

Anti-STAT5A Antibody detects endogenous levels of total STAT5A protein.

Immunogen

The antiserum was produced against synthesized peptide derived from human STAT5A.

Immunogen Range: 745-794

Features and Benefits

Evaluate our antibodies with complete peace of mind. If the antibody does not perform in your application, we will issue a full credit or replacement antibody. Learn more.

Physical form

Rabbit IgG in phosphate buffered saline (without Mg2+ and Ca2+), pH 7.4, 150mM NaCl, 0.02% sodium azide and 50% glycerol.

未找到合适的产品?  

试试我们的产品选型工具.

存储类别

10 - Combustible liquids

wgk

nwg

flash_point_f

Not applicable

flash_point_c

Not applicable

法规信息

常规特殊物品
此项目有

历史批次信息供参考:

分析证书(COA)

Lot/Batch Number

没有发现合适的版本?

如果您需要特殊版本,可通过批号或批次号查找具体证书。

已有该产品?

在文件库中查找您最近购买产品的文档。

访问文档库

我们的科学家团队拥有各种研究领域经验,包括生命科学、材料科学、化学合成、色谱、分析及许多其他领域.

联系客户支持