跳转至内容
Merck
CN

SAB5702131

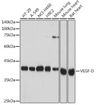
Anti-VEGF-D Antibody, clone 9C2U7, Rabbit Monoclonal

别名:

VEGFD, FIGF, VEGF-D, vascular endothelial growth factor D

登录 查看组织和合同定价。

选择尺寸

变更视图

关于此项目

NACRES:
NA.46
UNSPSC Code:
12352203
Species reactivity:
human, rat
Conjugate:
unconjugated
Application:
WB
Citations:
-
技术服务
需要帮助?我们经验丰富的科学家团队随时乐意为您服务。
让我们为您提供帮助


biological source

rabbit

Quality Level

conjugate

unconjugated

material

colorless

clone

9C2U7, monoclonal

form

liquid

mol wt

41 kDa

species reactivity

human, rat

concentration

1.5 mg/mL

technique(s)

western blot: 1:500 - 1:2000

color

colorless

isotype

IgG

immunogen sequence

YSIIRRSIQIPEEDRCSHSKKLCPIDMLWDSNKCKCVLQEENPLAGTEDHSHLQEPALCGPHMMFDEDRCECVCKTPCPKDLIQHPKNCSCFECKESLETC

UniProt accession no.

shipped in

wet ice

storage temp.

−20°C

target post-translational modification

unmodified

Gene Information

human ... VEGFD(2277)

General description

The protein encoded by this gene is a member of the platelet-derived growth factor/vascular endothelial growth factor (PDGF/VEGF) family and is active in angiogenesis, lymphangiogenesis, and endothelial cell growth. This secreted protein undergoes a complex proteolytic maturation, generating multiple processed forms which bind and activate VEGFR-2 and VEGFR-3 receptors. This protein is structurally and functionally similar to vascular endothelial growth factor C. Read-through transcription has been observed between this locus and the upstream PIR (GeneID 8544) locus.

Immunogen

A synthetic peptide corresponding to a sequence within amino acids 200-300 of human VEGF-D (O43915).
PBS with 0.02% sodium azide,0.05% BSA,50% glycerol,pH7.3.

Application

WB


存储类别

10 - Combustible liquids

wgk

WGK 1

法规信息

常规特殊物品

此项目有



历史批次信息供参考:

分析证书(COA)

Lot/Batch Number

It looks like we've run into a problem, but you can still download Certificates of Analysis from our 文件 section.

如需帮助,请联系 客户支持

已有该产品?

在文件库中查找您最近购买产品的文档。

访问文档库



全球贸易项目编号

货号GTIN
SAB5702131-100UL04065270650788