SAB6012483
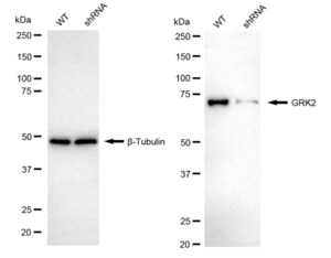
KD-Validated Anti GRK2 Antibody, clone 23GB1515, Rabbit Monoclonal


clone 23GB1515, recombinant rabbit monoclonal, expressed in HEK293 cells
别名:
ADRBK1, BARK, BARK1
生物来源
rabbit (Monoclonal)
质量水平
重组
expressed in HEK 293 cells
偶联物
unconjugated
抗体形式
affinity isolated antibody
抗体产品类型
primary antibodies
克隆
23GB1515, recombinant monoclonal
表单
buffered aqueous glycerol solution
分子量
80 kDa
种属反应性
human, rat
包装
vial of 1.5 mL
增强验证
recombinant expression
Learn more about Antibody Enhanced Validation
浓度
1 mg/ml
技术
flow cytometry: 1:2000
immunofluorescence: 1:100-:1000
western blot: 1:1,000-1:5,000
同位素/亚型
IgG
基因组数据库 |人类登记号
NCBI登记号
UniProt登记号
运输
wet ice
储存温度
−20°C
靶向翻译后修饰
unmodified
基因信息
human ... GRK2(156)
一般描述
This gene encodes a member of the G protein-coupled receptor kinase family of proteins. The encoded protein phosphorylates the beta-adrenergic receptor as well as a wide range of other substrates including non-GPCR cell surface receptors, and cytoskeletal, mitochondrial, and transcription factor proteins. Data from rodent models supports a role for this gene in embryonic development, heart function and metabolism. Elevated expression of this gene has been observed in human patients with heart failure and Alzheimer′s disease. [provided by RefSeq, Sep 2017]
免疫原
A synthesized peptide corresponding to a sequence within amino acids 650-689 of human GRK2 [NP_001610.2].
外形
Solution in PBS (pH 7.4) containing 50% glycerol, and 0.02% sodium azide.
其他说明
Gently mix before use. Optimal concentrations and conditions for each application should be determined by the user.
未找到合适的产品?
试试我们的产品选型工具.
法规信息
新产品
此项目有
我们的科学家团队拥有各种研究领域经验,包括生命科学、材料科学、化学合成、色谱、分析及许多其他领域.
联系客户支持