biological source
mouse
conjugate
unconjugated
antibody form
purified immunoglobulin
antibody product type
primary antibodies
clone
1C10, monoclonal
form
buffered aqueous solution
species reactivity
human
technique(s)
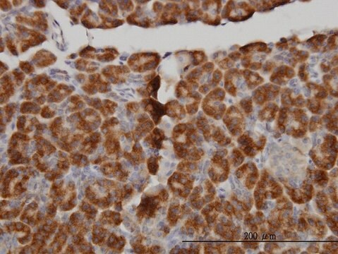
immunohistochemistry (formalin-fixed, paraffin-embedded sections): suitable, indirect ELISA: suitable, western blot: 1-5 μg/mL
isotype
IgG2aκ
GenBank accession no.
UniProt accession no.
shipped in
dry ice
storage temp.
−20°C
target post-translational modification
unmodified
Gene Information
human ... MTM1(4534)
General description
The MTM1 (myotubularin 1) gene encodes myotubularin, a phosphatase that consists of 15 exons. It is located on human chromosome Xq28.
This gene encodes a dual-specificity phosphatase that acts on both phosphotyrosine and phosphoserine. It is required for muscle cell differentiation and mutations in this gene have been identified as being responsible for X-linked myotubular myopathy. (provided by RefSeq)
Immunogen
MTM1 (AAH30779, 1 a.a. ~ 100 a.a) partial recombinant protein with GST tag. MW of the GST tag alone is 26 KDa.
Sequence
MASASTSKYNSHSLENESIKRTSRDGVNRDLTEAVPRLPGETLITDKEVIYICPFNGPIKGRVYITNYRLYLRSLETDSSLILDVPLGVISRIEKMGGAT
Sequence
MASASTSKYNSHSLENESIKRTSRDGVNRDLTEAVPRLPGETLITDKEVIYICPFNGPIKGRVYITNYRLYLRSLETDSSLILDVPLGVISRIEKMGGAT
Biochem/physiol Actions
The MTM1 (myotubularin 1) targets two phosphoinositides (PIs), PtdIns3P and PtdInsP2, that participate in the endosomal–lysosomal pathway. Myotubularin is required for muscle cell differentiation and controls the mitochondrial morphology in muscular fibers. Mutations in the MTM1 gene result in X-linked myotubular myopathy (XLMTM), characterized by neonatal hypotonia and respiratory failure.
Physical form
Solution in phosphate buffered saline, pH 7.4
Legal Information
GenBank is a registered trademark of United States Department of Health and Human Services
Disclaimer
Unless otherwise stated in our catalog or other company documentation accompanying the product(s), our products are intended for research use only and are not to be used for any other purpose, which includes but is not limited to, unauthorized commercial uses, in vitro diagnostic uses, ex vivo or in vivo therapeutic uses or any type of consumption or application to humans or animals.
未找到合适的产品?
试试我们的产品选型工具.
存储类别
10 - Combustible liquids
flash_point_f
Not applicable
flash_point_c
Not applicable
ppe
Eyeshields, Gloves, multi-purpose combination respirator cartridge (US)
法规信息
新产品
此项目有
Novel findings associated with MTM1 suggest a higher number of female symptomatic carriers
Savarese M, et al.
Neuromuscular Disorders, 26(4-5), 292-299 (2016)
Genomic organization of a 225-kb region in Xq28 containing the gene for X-linked myotubular myopathy (MTM1) and a related gene (MTMR1)
Kioschis P, et al.
Genomics (1998)
我们的科学家团队拥有各种研究领域经验,包括生命科学、材料科学、化学合成、色谱、分析及许多其他领域.
联系客户支持