biological source
rabbit
Quality Segment
recombinant
expressed in HEK 293 cells
conjugate
unconjugated
antibody form
purified antibody
antibody product type
primary antibodies
clone
2N14, recombinant monoclonal
description
recombinant, expressed in HEK 293 cells
product line
ZooMAb® learn more
form
lyophilized
mol wt
calculated mol wt 88.37 kDa, observed mol wt ~80 kDa
purified by
using Protein A
species reactivity
human
packaging
antibody small pack of 25
greener alternative product characteristics
Waste Prevention
Designing Safer Chemicals
Design for Energy Efficiency
Learn more about the Principles of Green Chemistry.
enhanced validation
recombinant expression
Learn more about Antibody Enhanced Validation
sustainability
Greener Alternative Product
technique(s)
flow cytometry: suitable, immunocytochemistry: suitable, immunohistochemistry: suitable, western blot: suitable
isotype
IgG
epitope sequence
Internal
Protein ID accession no.
UniProt accession no.
greener alternative category
shipped in
ambient
storage temp.
2-8°C
Gene Information
human ... CPT1A(1374)
General description
ZooMAb® antibodies represent an entirely new generation of recombinant monoclonal antibodies. Each ZooMAb® antibody is manufactured using our proprietary recombinant expression system, purified to homogeneity, and precisely dispensed to produce robust and highly reproducible lot-to-lot consistency. Only top-performing clones are released for use by researchers. Each antibody is validated for high specificity and affinity across multiple applications, including its most commonly used application. ZooMAb® antibodies are reliably available and ready to ship when you need them.
Carnitine O-palmitoyltransferase 1, liver isoform (UniProt: P50416; also known as EC:2.3.1.21, CPT1-L;Carnitine O-palmitoyltransferase I, liver isoform (CPT I; CPTI-L), Carnitine palmitoyltransferase 1A, Succinyltransferase CPT1A) is encoded by the CPT1A (also known as CPT1) gene (Gene ID: 1374) in human. Carnitine O-palmitoyltransferase 1A (CPT1A) is a mitochondrial enzyme that plays a pivotal role in long-chain fatty acid oxidation by catalyzing the conversion of acyl-CoA to acylcarnitine, enabling their transport into the mitochondrial matrix for β-oxidation. CPT1A is an integral membrane protein localized to the outer mitochondrial membrane, where it functions as the rate-limiting step in fatty acid transport. CPT1A contains a catalytic C-terminal domain and a regulatory N-terminal domain that modulates its sensitivity to malonyl-CoA, an allosteric inhibitor derived from glucose metabolism. This sensitivity is influenced by oligomerization states and membrane composition. CPT1A is predominantly expressed in lipogenic tissues such as the liver, but it is also found in the spleen, kidneys, lungs, pancreas, and brain. It is essential for maintaining energy homeostasis, particularly during fasting or metabolic stress conditions. CPT1A interacts carnitine-acylcarnitine translocase and CPT2, forming a cooperative system for mitochondrial fatty acid metabolism. Dysregulation or deficiency of CPT1A has been implicated in metabolic disorders such as nonalcoholic fatty liver disease (NAFLD), hepatic ischemia-reperfusion injury, and insulin resistance. Pathogenic mutations in the CPT1A gene are associated with CPT1A deficiency, a rare autosomal recessive disorder characterized by hypoketotic hypoglycemia, hepatic encephalopathy, and fasting intolerance. Additionally, CPT1A-mediated fatty acid oxidation has been linked to cancer cell survival and resistance to metabolic stress, suggesting its potential as a therapeutic target in oncology. CPT1A′s role in regulating lipid metabolism underscores its importance in both normal physiology and disease pathogenesis. This ZooMAb® recombinant monoclonal antibody, generated by our proprietary technology, offers significantly enhanced specificity, affinity, reproducibility, and stability over conventional monoclonals.
Carnitine O-palmitoyltransferase 1, liver isoform (UniProt: P50416; also known as EC:2.3.1.21, CPT1-L;Carnitine O-palmitoyltransferase I, liver isoform (CPT I; CPTI-L), Carnitine palmitoyltransferase 1A, Succinyltransferase CPT1A) is encoded by the CPT1A (also known as CPT1) gene (Gene ID: 1374) in human. Carnitine O-palmitoyltransferase 1A (CPT1A) is a mitochondrial enzyme that plays a pivotal role in long-chain fatty acid oxidation by catalyzing the conversion of acyl-CoA to acylcarnitine, enabling their transport into the mitochondrial matrix for β-oxidation. CPT1A is an integral membrane protein localized to the outer mitochondrial membrane, where it functions as the rate-limiting step in fatty acid transport. CPT1A contains a catalytic C-terminal domain and a regulatory N-terminal domain that modulates its sensitivity to malonyl-CoA, an allosteric inhibitor derived from glucose metabolism. This sensitivity is influenced by oligomerization states and membrane composition. CPT1A is predominantly expressed in lipogenic tissues such as the liver, but it is also found in the spleen, kidneys, lungs, pancreas, and brain. It is essential for maintaining energy homeostasis, particularly during fasting or metabolic stress conditions. CPT1A interacts carnitine-acylcarnitine translocase and CPT2, forming a cooperative system for mitochondrial fatty acid metabolism. Dysregulation or deficiency of CPT1A has been implicated in metabolic disorders such as nonalcoholic fatty liver disease (NAFLD), hepatic ischemia-reperfusion injury, and insulin resistance. Pathogenic mutations in the CPT1A gene are associated with CPT1A deficiency, a rare autosomal recessive disorder characterized by hypoketotic hypoglycemia, hepatic encephalopathy, and fasting intolerance. Additionally, CPT1A-mediated fatty acid oxidation has been linked to cancer cell survival and resistance to metabolic stress, suggesting its potential as a therapeutic target in oncology. CPT1A′s role in regulating lipid metabolism underscores its importance in both normal physiology and disease pathogenesis. This ZooMAb® recombinant monoclonal antibody, generated by our proprietary technology, offers significantly enhanced specificity, affinity, reproducibility, and stability over conventional monoclonals.
We are committed to bringing you greener alternative products, which adhere to one or more of the 12 Principles of Green Chemistry. This antibody is preservative-free, produced without the harm or sacrifice of animals and exceptionally stable to allow for ambient shipping and storage if needed, and thus aligns with "Waste Prevention", "Designing Safer Chemicals" and "Design for Energy Efficiency". Click here for more information.
Immunogen
KLH-conjugated linear peptide corresponding to 23 amino acids from the internal region of human CPT1A.
Application
Quality Control Testing
Evaluated by Western Blotting in HeLa cell lysate.
Western Blotting Analysis: A 1:10,000 dilution of this antibody detected CPT1A in HeLa cell lysate.
Tested Applications
Western Blotting Analysis: A 1:1,000 dilution from a representative lot detected CPT1A in human liver tissue lysate and a 1:10,000 dilution from in human kidney tissue lysate.
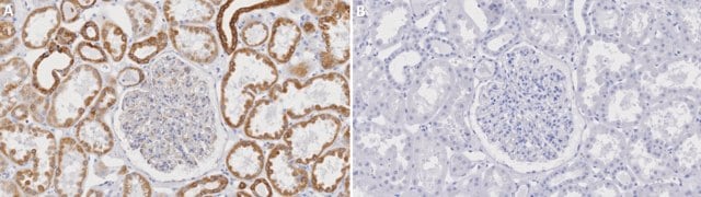
Immunohistochemistry (Paraffin) Analysis: A 1:100 dilution from a representative lot detected CPT1A in human kidney tissue sections.
Flow Cytometry Analysis: 1 µg from a representative lot detected CPT1A in one million HeLa cells.
Immunocytochemistry Analysis: A 1:1,000 dilution from a representative lot detected CPT1A in HeLa cells.
Note: Actual optimal working dilutions must be determined by end user as specimens and experimental conditions may vary with the end user.
Evaluated by Western Blotting in HeLa cell lysate.
Western Blotting Analysis: A 1:10,000 dilution of this antibody detected CPT1A in HeLa cell lysate.
Tested Applications
Western Blotting Analysis: A 1:1,000 dilution from a representative lot detected CPT1A in human liver tissue lysate and a 1:10,000 dilution from in human kidney tissue lysate.
Immunohistochemistry (Paraffin) Analysis: A 1:100 dilution from a representative lot detected CPT1A in human kidney tissue sections.
Flow Cytometry Analysis: 1 µg from a representative lot detected CPT1A in one million HeLa cells.
Immunocytochemistry Analysis: A 1:1,000 dilution from a representative lot detected CPT1A in HeLa cells.
Note: Actual optimal working dilutions must be determined by end user as specimens and experimental conditions may vary with the end user.
Biochem/physiol Actions
Clone 2N14 is a ZooMAb® rabbit recombinant monoclonal antibody that detects CPT1A. It targets an epitope within 23 amino acids from the internal region.
Physical form
Purified recombinant rabbit monoclonal antibody IgG, lyophilized in PBS with 5% Trehalose, normal appearance a coarse or translucent resin. The PBS/trehalose components in the ZooMAb formulation can have the appearance of a semi-solid (bead like gel) after lyophilization. This is a normal phenomenon. Please follow the recommended reconstitution procedure in the data sheet to dissolve the semi-solid, bead-like, gel-appearing material. The resulting antibody solution is completely stable and functional as proven by full functional testing. Contains no biocide or preservatives, such as azide, or any animal by-products. Larger pack sizes provided as multiples of 25 µL.
Preparation Note
300 µg/mL after reconstitution at 25 µL per vial. Please refer to guidance on suggested starting dilutions and/or titers per application and sample type.
Recommend storage of lyophilized product at 2-8°C; Before reconstitution, micro-centrifuge vials briefly to spin down material to bottom of the vial; Reconstitute each vial by adding 25 µL of filtered lab grade water or PBS; Reconstituted antibodies can be stored at 2-8°C, or -20°C for long term storage. Avoid repeated freeze-thaws.
Legal Information
ZooMAb is a registered trademark of Merck KGaA, Darmstadt, Germany
Disclaimer
Unless otherwise stated in our catalog or other company documentation accompanying the product(s), our products are intended for research use only and are not to be used for any other purpose, which includes but is not limited to, unauthorized commercial uses, in vitro diagnostic uses, ex vivo or in vivo therapeutic uses or any type of consumption or application to humans or animals.
Still not finding the right product?
试用我们的 产品选型工具 工具缩小选择范围
存储类别
11 - Combustible Solids
flash_point_f
Not applicable
flash_point_c
Not applicable
法规信息
常规特殊物品
此项目有
全球贸易项目编号
| 货号 | GTIN |
|---|---|
| ZRB2961-25UL | 04065273707182 |
| ZRB2961-4X25UL | 04065273707199 |