跳转至内容
Merck
CN

MABN740

Anti-GABA-B receptor 2 Antibody, clone N81/37

clone N81/37, from mouse

别名:

GABA-B-R2, GABA-BR2, GABABR2, Gamma-aminobutyric acid type B receptor subunit 2, GABA-B receptor 2, Gb2, G-protein coupled receptor 51

登录 查看组织和合同定价。

选择尺寸


关于此项目

UNSPSC Code:
12352203
NACRES:
NA.41
eCl@ss:
32160702
技术服务
需要帮助?我们经验丰富的科学家团队随时乐意为您服务。
让我们为您提供帮助
技术服务
需要帮助?我们经验丰富的科学家团队随时乐意为您服务。
让我们为您提供帮助

biological source

mouse

antibody form

purified antibody

antibody product type

primary antibodies

clone

N81/37, monoclonal

species reactivity

human, mouse, rat

technique(s)

immunohistochemistry: suitable, western blot: suitable

isotype

IgG1κ

NCBI accession no.

UniProt accession no.

shipped in

wet ice

target post-translational modification

unmodified

Gene Information

human ... GABBR2(9568)

General description

Gamma-aminobutyric acid (GABA) is the main inhibitory neurotransmitter in the mammalian central nervous system. GABA exerts its effects through ionotropic [GABA(A/C)] receptors, to produce fast synaptic inhibition, and metabotropic [GABA(B)] receptors, to produce slow, prolonged inhibitory signals. The GABA(B) receptor consists of a heterodimer of two related 7-transmembrane receptors, GABA(B) receptor 1 and GABA(B) receptor 2. The GABA(B) receptor 1 gene is mapped to chromosome 6p21.3 within the HLA class I region close to the HLA-F gene. Susceptibility loci for multiple sclerosis, epilepsy, and schizophrenia have also been mapped in this region. Alternative splicing of this gene generates 4 transcript variants.
~105 kDa observed

Immunogen

Recombinant protein corresponding to rat GABA-B receptor 2.

Application

Anti-GABA-B receptor 2 Antibody, clone N81/37 is a highly specific mouse monoclonal antibody, that targets GABA B Receptor & has been tested in western blotting & IHC.
Research Category
Neuroscience
Research Sub Category
Developmental Signaling
Western Blotting Analysis: 2.0 µg/mL from a representative lot detected GABA-B receptor 2 in 10 µg of mouse brain tissue lysate.
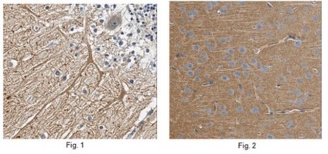
Immunohistochemistry Analysis: A 1:50 dilution from a representative lot detected GABA-B receptor 2 in human cerebellum and rat cerebral cortex tissue.

Biochem/physiol Actions

This antibody does not cross react with GABABR1 (Prof. J. Trimmer, University of California, Davis).

Physical form

Format: Purified
Protein G Purified
Purified mouse monoclonal IgG1κ in buffer containing 0.1 M Tris-Glycine (pH 7.4), 150 mM NaCl with 0.05% sodium azide.

Preparation Note

Stable for 1 year at 2-8°C from date of receipt.

Analysis Note

Evaluated by Western Blotting in rat brain tissue lysate.

Western Blotting Analysis: 2.0 µg/mL of this antibody detected GABA-B receptor 2 in 10 µg of rat brain tissue lysate.

Other Notes

Concentration: Please refer to the Certificate of Analysis for the lot-specific concentration.

Disclaimer

Unless otherwise stated in our catalog or other company documentation accompanying the product(s), our products are intended for research use only and are not to be used for any other purpose, which includes but is not limited to, unauthorized commercial uses, in vitro diagnostic uses, ex vivo or in vivo therapeutic uses or any type of consumption or application to humans or animals.

未找到合适的产品?  

试试我们的产品选型工具.

存储类别

12 - Non Combustible Liquids

wgk

WGK 1

flash_point_f

Not applicable

flash_point_c

Not applicable


分析证书(COA)

输入产品批号来搜索 分析证书(COA) 。批号可以在产品标签上"批“ (Lot或Batch)字后找到。

已有该产品?

在文件库中查找您最近购买产品的文档。

访问文档库

相关内容

"Apoptosis & Autophagy in Cancer: Cell Survival by Eluding Cell Death The ability of tumor cells to elude programmed cell death, also known as apoptosis, is a hallmark of most types of cancer. Similary, autophagy is a highly regulated, homeostatic degradative process where cells destroy their own components via the lysosomal machinery and recycle them for prolonged cell survival. Via extensive crosstalk with pro-apoptotic signaling pathways, autophagy can also contribute to cell death and greatly influence general cell health. Elucidating the correlation between autophagy and apoptotic cell death has become the focus of a great deal of research, particularly in tumor biology. On one hand, autophagy may induce cell death by degrading essential components; on the other hand, it may facilitate survival of cancer cells under unfavorable metabolic conditions."

我们的科学家团队拥有各种研究领域经验,包括生命科学、材料科学、化学合成、色谱、分析及许多其他领域.

联系客户支持