HPA027179
抗-KDM5B 兔抗

Prestige Antibodies® Powered by Atlas Antibodies, affinity isolated antibody, buffered aqueous glycerol solution
别名:
抗-CT31, 抗-JARID1B, 抗-PLU-1, 抗-PPP1R98, 抗-RBBP2H1A
生物来源
rabbit
质量水平
偶联物
unconjugated
抗体形式
affinity isolated antibody
抗体产品类型
primary antibodies
克隆
polyclonal
产品线
Prestige Antibodies® Powered by Atlas Antibodies
表单
buffered aqueous glycerol solution
种属反应性
human
增强验证
orthogonal RNAseq
Learn more about Antibody Enhanced Validation
技术
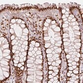
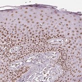
immunohistochemistry: 1:200- 1:500
免疫原序列
DGINSLERKLKRRLEREGLSSERWERVKKMRTPKKKKIKLSHPKDMNNFKLERERSYELVRSAETHSLPSDTSYSEQEDSE
运输
wet ice
储存温度
−20°C
靶向翻译后修饰
unmodified
基因信息
human ... JARID1B(10765)
一般描述
KDM5B是一种酶,可以使组蛋白H3中的赖氨酸4 脱甲基,然后抑制mRNA 合成。这种酶调节细胞发育过程,如有丝分裂和细胞分化。KDM5B 表达增加与癌症有关。抗KDM5B抗体对人KDM5B有特异性。
免疫原
组蛋白脱甲基酶JARID1B重组蛋白表位信号标签(PrEST)
应用
兔产生的抗KDM5B抗体,属于Prestige抗体,由人类蛋白质图谱(HPA)项目开发和验证。每种抗体都通过针对数百种正常和疾病组织的免疫组织化学进行测试。通过单击图像库链接,可以在人类蛋白质图谱(HPA)站点上查看这些图像。还采用蛋白阵列和蛋白质印迹法对抗体进行检测。想要查看有关Prestige 抗体和HPA的方案和其他实用信息,请访问 sigma.com/prestige。抗KDM5B抗体适用于间接免疫荧光检测。
特点和优势
Prestige抗体®是经过高度表征和广泛验证的抗体,同时还有一个优点是其每个靶标的所有可用表征数据都可以通过位于此页面顶部产品名称下方的人类蛋白质图谱门户进行访问。Prestige抗体对其他蛋白质的独特性和低交叉反应性®是通过严密的抗原区域选择、亲和纯化和严格的选择来实现的。针对每一个Prestige Antibody都存在有对应的Prestige抗原对照,并可在链接区域内找到。
每个Prestige Antibody都是按照以下方法进行测试的:
每个Prestige Antibody都是按照以下方法进行测试的:
- 44例正常人类组织以及20例最常见癌症类型组织的IHC组织阵列。
- 364个人类重组蛋白片段的蛋白阵列。
外形
溶于磷酸盐缓冲盐水,pH 7.2,含有40%甘油和0.02%叠氮化钠
其他说明
相应抗原APREST76633
法律信息
Prestige Antibodies is a registered trademark of Merck KGaA, Darmstadt, Germany
免责声明
除非我们的产品目录或产品附带的其他公司文档另有说明,否则我们的产品仅供研究使用,不得用于任何其他目的,包括但不限于未经授权的商业用途、体外诊断用途、离体或体内治疗用途或任何类型的消费或应用于人类或动物。
未找到合适的产品?
试试我们的产品选型工具.
储存分类代码
10 - Combustible liquids
WGK
WGK 1
闪点(°F)
Not applicable
闪点(°C)
Not applicable
法规信息
常规特殊物品
此项目有
Lishuang Wang et al.
Tumour biology : the journal of the International Society for Oncodevelopmental Biology and Medicine, 36(4), 2465-2472 (2015-02-11)
JARID1B, a histone demethylase, has been reported to be highly expressed in various human cancers. In the present study, we investigated the association of JARID1B level with epithelial ovarian cancer (EOC) and prognosis of patients with EOC. We analyzed JARID1B
Shinya Hayami et al.
Molecular cancer, 9, 59-59 (2010-03-17)
Although an increasing number of histone demethylases have been identified and biochemically characterized, their biological functions largely remain uncharacterized, particularly in the context of human diseases such as cancer. We investigated the role of KDM5B, a JmjC histone demethylase, in
Shoji Yamamoto et al.
Cancer cell, 25(6), 762-777 (2014-06-18)
Recurrent mutations in histone-modifying enzymes imply key roles in tumorigenesis, yet their functional relevance is largely unknown. Here, we show that JARID1B, encoding a histone H3 lysine 4 (H3K4) demethylase, is frequently amplified and overexpressed in luminal breast tumors and
Mike Ran Zou et al.
The Journal of biological chemistry, 289(25), 17620-17633 (2014-05-08)
The JmjC domain-containing H3K4 histone demethylase jumonji AT-rich interactive domain 1B (JARID1B) (also known as KDM5B and PLU1) is overexpressed in breast cancer and is a potential target for breast cancer treatment. To investigate the in vivo function of JARID1B
Bijan K Dey et al.
Molecular and cellular biology, 28(17), 5312-5327 (2008-07-02)
The histone demethylase lysine demethylase 5b (KDM5b) specifically demethylates lysine 4 of histone H3 (meH3K4), thereby repressing gene transcription. KDM5b regulates cell cycle control genes in cancer and is expressed in the early epiblast. This suggests that KDM5b plays a
我们的科学家团队拥有各种研究领域经验,包括生命科学、材料科学、化学合成、色谱、分析及许多其他领域.
联系客户支持